목차
1. 중이염이란?
중이염은 중이, 즉 귀의 중앙 부분에 염증이 발생하는 상태를 말합니다.
일반적으로 세균이나 바이러스 감염에 의해 발생하며, 급성 및 만성으로 분류될 수 있습니다. 급성 중이염은 짧은 기간에 발생하고 빠르게 치료되지만, 만성 중이염은 반복적으로 발생하며 장기적인 관리가 필요합니다. 중이의 염증은 청력 손실, 통증 및 불편함을 초래할 수 있으므로, 예방을 위해 적절한 귀 관리와 세균 및 바이러스의 확산을 방지하는 데 중점을 두어야 합니다.
2. 중이염 원인



중이염은 귀 내부의 세균 감염이나 바이러스 감연 등에 의해 발생할 수 있으며, 이를 이해하고 적절한 예방 조치를 취하는 것이 중요합니다.
- 감기나 알레르기 등의 질환이 귀의 유스타키오 관을 막아 염증을 유발합니다.
- 면역력이 약한 사람, 흡연자, 혹은 환경적으로 오염된 지역에 거주하는 사람들이 중이염에 걸릴 확률이 높습니다.
- 어린이는 해부학적 구조로 인해 중이염에 걸리기 쉬우며, 겨울철에 더욱 빈번하게 발생할 수 있습니다.
3. 중이염 증상
감기에 좋은 차 효능, 만드는 법 간단 정리
목 차생강차레몬차감초차유자차대추차페퍼민트차카모마일차라벤더차1. 생강차(1) 효능생강은 천연 항염증제이자 항바이러스 성분을 함유하고 있어 감기 증상 완화에 매우 효과적입니다. 생
story.sapdox.com
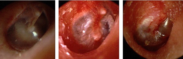
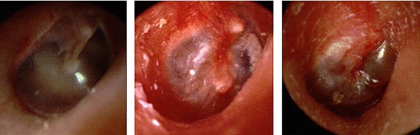
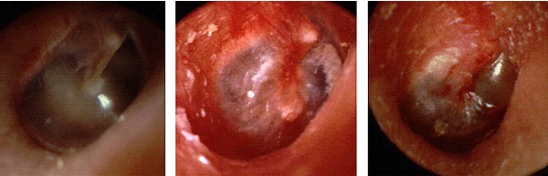
중이염의 주요 증상으로는 귀 통증, 청력 저하, 귀에서의 액체 배출 등이 있습니다.
통증은 갑작스럽게 발생할 수 있으며, 특히, 어린이에게서 불안과 짜증을 유발할 수 있습니다. 청력 저하는 귀의 염증이나 액체 축적에 의해 발생하며, 일부 환자는 귀가 막힌 느낌이나 소리가 왜곡되는 경험을 하기도 합니다. 그 외에도 발열, 귀 주변의 압박감, 두통 등도 흔히 나타날 수 있습니다. 이러한 증상들은 일상생활에 큰 영향을 미치기 때문에 조기에 전문가의 진료를 받는 것이 중요합니다.
4. 중이염 진단 및 검사 방법
중이염을 진단하기 위해 의사는 주로 증상 청취와 신체 검사를 실시합니다. 귀를 검사하기 위해 오토스코프를 사용하여 중이의 상태를 확인합니다. 경우에 따라, 청력 검사나 귀에서의 액체 배출을 확인하는 검사가 추가될 수 있습니다. 이러한 검사를 통해 염증의 정도와 원인을 파악할 수 있으며, 필요시, X- ray나 CT 스캔과 같은 영상 검사가 이루어질 수 있습니다. 진단 결과는 중이염의 치료 방향성을 결정하는 데 중요한 역할을 합니다.
5. 중이염에 영향을 미치는 생활 습관
중이염 발생에 영향을 미치는 주요 생활 습관에는 흡연, 음주, 극심한 스트레스, 불규칙한 수면 패턴 등이 있습니다.
흡연은 특히 귀의 염증을 악화시키고, 상기도 감염의 위험을 높입니다. 또한, 지나치게 스트레스받거나 피로한 경우 면역력이 저하되어 감염에 취약해질 수 있습니다. 따라서, 균형 잡힌 식사, 규칙적인 운동, 충분한 수면과 휴식 등 건강한 생활 습관을 유지하는 것이 중이염 예방에 도움이 됩니다.
6. 중이염에 좋은 식품
중이염 증상 완화에는 항염 효과가 있는 식품이 도움이 될 수 있습니다.





- 마늘, 생강, 꿀 등은 항균 및 항염 작용을 통해 염증을 줄이는 데 기여할 수 있습니다. 특히, 마늘은 알리신 성분이 풍부하여 면역력 강화에 효과적입니다.
- 검은콩은 열독을 풀어주고 소염작용을 하여 중이염에 자주 걸리거나, 만성 중이염을 앓고 있는 사람에게 좋습니다.
- 우엉은 열을 내리고 고름의 배출을 도와 중이염 증상 완화에 도움을 줍니다.
- 비타민 C가 풍부한 과일과 채소, 특히, 오렌지와 브로콜리는 염증을 완화하고 면역 체계를 지원하는 데 유용합니다.
7. 중이염 관리 및 예방 방법
중이염 관리와 예방을 위해서는 체내 면역력을 강화하고, 감염을 예방하는 전략이 중요합니다.
- 간접흡연을 피하도록 합니다.
- 손 씻기 등 개인위생을 철저히 합니다.
- 귀 청소를 너무 자주 하지 말고 젖은 천이나 면봉으로 귓바퀴만 닦아주도록 합니다.
- 코를 풀 때 귀에 무리가 가지 않도록 한쪽씩 번갈아 푸는 것을 습관화합니다.
- 수영이나 물놀이를 할 때 귀에 물이 들어가지 않도록 주의하도록 합니다.
- 정기적으로 귀를 검사하고, 의사의 조언에 따라 적절한 치료를 받는 것도 중이염 예방에 기여할 수 있습니다.
8. 전문가의 조언과 치료 방법



중이염의 치료를 위해서는 일반적으로 항생제나 진통제가 사용됩니다. 그러나 만성 중이염의 경우, 지속적인 관리가 필요하며, 때로는 수술이 필요할 수도 있습니다. 전문가들은 중이염 증상이 나타날 경우, 즉시 진료를 받는 것을 권장합니다. 또한, 귀 건강을 유지하기 위해서는 정기적으로 귀를 검사하고, 적절한 청소 방법을 따르는 것이 중요합니다. 전문가의 조언을 듣고, 자가 진단이나 자가 치료를 피하는 것이 중이염 예방과 치료에 효과적입니다.
댓글