안녕하세요 J입니다. 오늘은 치아를 튼튼하게 유지시켜 주는 잇몸 건강에 대해 이야기해 보겠습니다. 나이가 들면서 종종 나타나는 잇몸이 붓고 아픈 이유, 잇몸에서 피가 나는 이유 등을 정리해 보겠습니다.
목 차
- 잇몸 건강의 중요성
- 잇몸이 붓고 아픈 이유와 대처 방안
- 잇몸에서 피가 나는 이유와 대처 방안
- 잇몸 질환 단계별 증상
- 잇몸 질환 예방법
- 집에서 할 수 있는 간단한 관리법
- 잇몸에 좋은 음식
- 전문가의 치료가 필요한 경우
1. 잇몸 건강의 중요성
잇몸 건강은 구강 건강의 핵심입니다. 잇몸이 건강해야 치아도 튼튼하게 유지되며, 더 나아가 전신 건강에도 긍정적인 영향을 미치게 됩니다. 잇몸은 치아를 지탱하고 보호하는 중요한 역할을 하는데, 잇몸에 문제가 생기면 치아를 잃게 될 수도 있습니다. 또한, 잇몸 질환은 심혈관 질환, 당뇨병, 만성 신장질환, 폐 질환, 암, 기억력 감퇴 등과 같은 전신 질환과도 관련이 있는 것으로 알려져 있습니다.
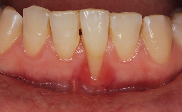
2. 잇몸이 붓고 아픈 이유와 대처 방안



(1) 원인
붓고 아픈 잇몸은 여러 가지 원인으로 발생할 수 있습니다.
가장 흔한 원인은 치주염 같은 잇몸 질환으로, 세균 감염으로 염증이 생기면 잇몸이 붓고 통증을 느끼게 됩니다. 치태나 치석, 노화, 전신질화, 그리고 잘못된 구강관리, 잘못된 칫솔질도 원인이 될 수 있으며, 흡연, 스트레스, 호르몬 변화도 잇몸 건강에 악영향을 미친답니다.
(2) 대처방안
- 냉찜질로 붓기를 가라앉힙니다.
- 잇몸이 부었을 때 과로를 피하고 휴식을 갖습니다.
- 단백질과 비타민을 섭취합니다.
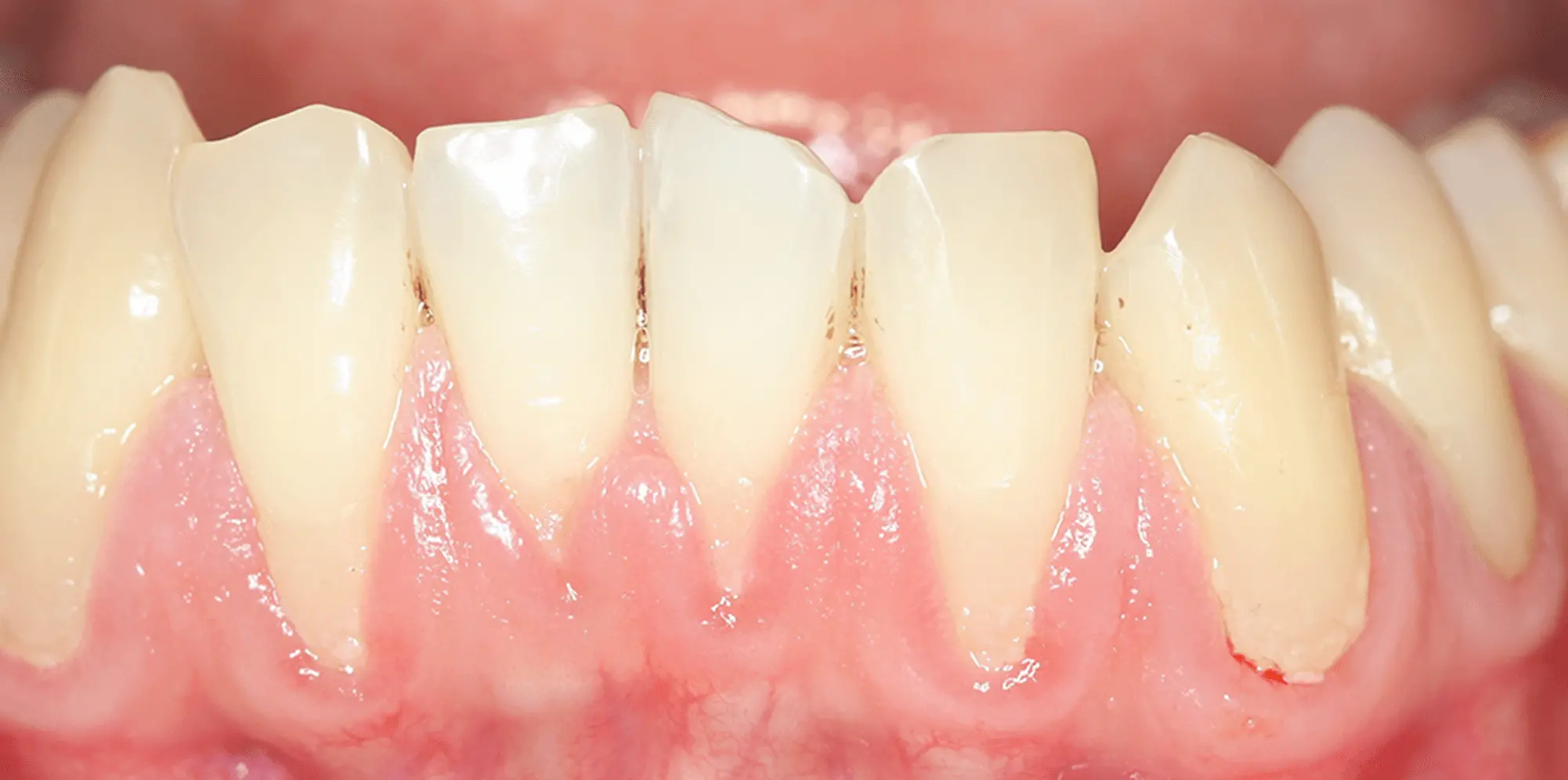
3. 잇몸에서 피가 나는 이유와 대처 방안
임플란트 시술과정 시술기간, 임플란트 의료보험적용대상 간단 정리
안녕하세요 J입니다. 오복 중에 하나인 치아 건강은 우리 생활에 정말 큰 영향을 미치는데요 오늘은 임플란트 시술에 대해 간단하게 정리해 보려고 합니다. 시술과정, 시술기간, 임플란트 의료
story.sapdox.com
(1) 원인
잇몸에서 피가 나는 이유는 주로 염증이나 감염 때문입니다. 대개 초기에는 플라그와 같은 세균이 축적되어 잇몸에 염증을 일으키고, 이로 인해 잇몸이 붓고 쉽게 피가 나게 됩니다. 그 외에도 비타민K 결핍이나 혈액 응고 장애 같은 전신적 문제도 잇몸에서 출혈을 일으킬 수 있습니다. 피가 나면 대개 세균이 잇몸에 침투하여 염증을 일으키고 있다는 신호입니다. 이때 제대로 관리하지 않으면 치주염 등 더 심각한 질환으로 발전할 수 있습니다.
(2) 대처방안
- 냉찜질로 붓기를 가라앉힙니다.
- 부드러운 칫솔로 힘을 주지 말고 꼼꼼하게 양치질을 합니다.
- 치실을 사용하여 치아 사이의 이물질을 제거합니다.
- 정기적인 스케일링을 합니다.
4. 잇몸 질환 단계별 증상
- 초기 증상 : 잇몸이 빨갛게 붓고 피가 나는 증상
- 중기 증상 : 입 냄새가 심해지고 잇몸과 치아 사이가 벌어지기 시작
- 말기 증상 : 치아가 흔들리고 염증으로 인해 고름이 나오기 시작
5. 잇몸 질환 예방법



잇몸 건강을 지키기 위해 가장 중요한 건 정기적인 구강 위생 관리입니다.
- 매일 규칙적으로 이를 닦고, 치실이나 치간 칫솔을 사용하여 플라그와 세균을 제거하도록 합니다.
- 부드러운 칫솔을 사용하여, 올바르게 칫솔질을 합니다.
- 불규칙한 식습관과 흡연은 잇몸 건강에 나쁜 영향을 미치므로 피하는 것이 좋습니다.
- 정기적 치과 검진과 스케일링을 받도록 합니다.
6. 집에서 할 수 있는 간단한 관리법
집에서 할 수 있는 간단한 잇몸 관리법으로는 먼저, 올바른 칫솔질과 치실이나 치간 칫솔 사용이 있습니다. 부드러운 칫솔로 잇몸을 자극하지 않게 닦고, 치실이나 치간 칫솔을 사용하여 치아 사이에 끼인 플라그는 제거해 줍니다. 또한, 구강 세정제를 사용해 염증을 완화하고, 식사 후 물로 입을 헹구어 남은 음식 찌꺼기를 제거하는 것도 잇몸 건강에 좋습니다. 이러한 습관들을 꾸준히 실천하면 잇몸을 건강하게 유지하는데 도움을 줄 수 있습니다.
7. 잇몸에 좋은 음식
잇몸 건강을 위해 식습관 개선이 중요합니다. 잇몸에 좋은 음식은 다음과 같습니다.
- 비타민 C가 풍부한 식품 : 비타민 C는 잇몸을 강화하고, 염증을 줄이는 데 효과가 있습니다. (딸기, 토마토, 브로콜리, 가지, 감자 등)
- 칼슘이 풍부한 식품 : 치아와 뼈를 튼튼하게 하고, 구강 내부의 산성도를 낮춰줍니다. (우유, 두부, 멸치, 아몬드 등)
- 유산균이 포함된 식품 : 구강 내 세균 균형을 맞춰줍니다. (요거트, 치즈 등)
- 녹차 : 녹차에 함유되어 있는 폴리페놀 성분이 충치와 잇몸 질환을 예방해 줍니다.



8. 전문가의 치료가 필요한 경우
잇몸 질환 증상이 심각한 경우에는 전문가의 치료가 필요합니다. 잇몸이 붓고 아픈 증상이 지속되거나, 피가 나오는 경우 즉시, 치과를 방문해야 합니다. 치주염이나 다른 심각한 합병증을 일으킬 수 있기 때문에, 증상이 나빠지기 전에 전문가의 진단과 치료를 받는 것이 중요합니다. 초기에 치료를 받으면 질환의 진행을 막고, 빠르게 회복할 수 있게 됩니다.
댓글