안녕하세요 J입니다. 오복 중에 하나인 치아 건강은 우리 생활에 정말 큰 영향을 미치는데요 오늘은 임플란트 시술에 대해 간단하게 정리해 보려고 합니다. 시술과정, 시술기간, 임플란트 의료보험적용대상 등을 쉽고 간단하게 알려드리겠습니다.
임플란트 시술이란?
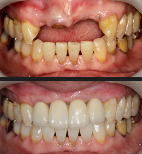
임플란트란? 치아가 상실된 자리에 인공 치아 뿌리를 의료용 티타늄으로 만든 구조체를 식립 하여,, 그 위에 인공 치아를 부착하는 시술입니다. 이 시술은 자연 치아와 유사한 외관과 기능을 제공하며, 저작 기능을 회복할 수 있습니다.
임플란트는 상당한 내구성을 가지고 있으며, 식립 후 시간이 지나도 안정성을 유지하는 특징이 있습니다. 또한, 주변 치아에 영향을 주지 않고 독립적으로 기능할 수 있어 인기가 많습니다. 시술 전 환자의 구강 상태를 면밀히 평가하고, 적절한 치료 계획을 세우는 것이 중요합니다.


임플란트 시술과정 단계별 안내
임플란트 시술과정 은 일반적으로 세 가지 주요 단계로 나뉩니다.
첫 번째 단계는 진단과 계획 단계입니다. 의사는 환자의 구강 상태를 평가하고 X-레이 등을 통해 식립 할 위치를 결정하게 됩니다.
두 번째 단계는 임플란트 식립 단계로, 수술을 통해 인공 치아 뿌리를 턱 뼈에 식립 합니다.. 이 과정은 국소 마취 하에 진행되기 때문에 통증이 최소화됩니다.
세 번째 단계는 보철물 장착 단계로, 식립 된 임플란트가 뼈와 결합된 후 인공 치아를 부착하여 최종적으로 외관과 기능을 완성시킵니다.
임플란트 시술기간 은?
임플란트 시술기간은 개별 환자의 상태와 시술 종류에 따라 다릅니다. 일반적으로 기본적인 임플란트 시술시간은 1~2시간 이내에 완료됩니다. 그러나 회복 및 뼈 통합 과정이 추가로 필요하여, 전체 과정은 보통 3개월에서 6개월까지 걸릴 수 있습니다. 뼈가 부족한 경우에는 뼈 이식 절차가 필요할 수 있으며, 이 경우 시술 기간은 더욱 길어질 수 있습니다. 각 단계의 소요 시간은 환자의 건강 상태와 치아 구조에 따라 달라지므로, 전문의와 충분한 상담이 필요합니다.


임플란트 의료보험적용 대상 과 조건
임플란트 의료보험적용 대상
1. 만 65세 이상의 국민
보장내용 : 1인당 평생 최대 2개까지 보험 적용이 가능하며, 위아래 턱의 부위 제한없이 사용할 수 있습니다.
본인 부담금은 총 치료비의 30% 부담 (시술 총액이 100만원일 경우 본인이 30만원 부담)
2. 의료급여대상자(차상위 계층 포함)
보장내용 : 1종은 총 치료비의 10%, 2종은 총 치료비의 20%
시술 전 준비사항 체크리스트
임플란트 시술을 받기 전, 철저한 준비가 필요합니다.
첫 번째, 구강 건강 상태를 확인하고 감염이나 염증이 없는지 검토해야 합니다.
두 번째, 의사와의 상담을 통해 개인의 건강 이력 및 복용 중인 약물을 확인하여, 시술에 영향을 줄 수 있는 요소를 파악합니다.
세 번째, 시술 당일에는 심리적 안정을 위해 충분한 휴식을 취하고, 흡연이나 음주를 피하는 것이 좋습니다. 또한, 식사를 하지 않은 상태로 가는 것이 바람직합니다.



임플란트 시술 후 회복 과정
임플란트 시술 후 회복 과정은 환자마다 다르지만, 일반적으로 몇 가지 단계로 이루어집니다.
수술 직후에는 약간의 통증과 부기가 있을 수 있으며, 이는 일상적인 반응으로, 의사가 추천하는 진통제를 복용하여 관리할 수 있습니다.
시술 후 1~2주간은 부기가 점차 감소하고, 치유가 진행됩니다. 이 시기 동안에는 부드러운 음식을 섭취하고, 구강 청결을 철저히 관리해야 합니다.
임플란트와 턱 뼈가 통합되는 데 약 3~6개월이 걸리며, 이 기간 동안 정기적인 검진을 통해 회복 상태를 확인하는 것이 중요합니다.
임플란트 시술 후 주의할 점 및 관리 방법
임플란트 시술 후에는 몇 가지 주의 사항과 관리 방법이 있습니다.
첫째, 초기 48시간 동안은 입안의 치유를 돕기 위해 자극적인 음식이나 뜨거운 음식을 피하고 부드러운 음식을 섭취해야 합니다.
둘째, 시술 부위에서 출혈이 있을 수 있으므로, 얼음찜질을 권장합니다.
셋째, 흡연이나 음주는 회복에 악영향을 미칠 수 있으므로, 이 시기 동안 금연과 금주를 권장합니다.
넷째, 구강 위생을 철저히 유지해야 합니다.
다섯째, 정기적인 치과 방문을 통해 임플란트의 상태를 체크하는 것이 중요합니다.
성공적인 임플란트를 위한 생활 습관
성공적인 임플란트를 위한 생활 습관은 매우 중요합니다.
첫째, 균형 잡힌 식단을 통해 영양소를 충분히 섭취하고, 뼈 건강에 좋은 칼슘과 비타민 D를 포함하는 음식을 먹어야 합니다.
둘째, 정기적인 운동을 통해 전반적인 건강을 유지하고 스트레스를 관리하는 것도 중요합니다.
셋째, 구강 위생을 위해 규칙적이고 꼼꼼한 양치질 및 치실 사용을 통해 구강 건강을 지켜야 합니다.
넷째, 정기적인 치과 검진으로 임플란트의 상태를 체크하고 필요시 적절한 치료를 받는 것이 성공적인 임플란트를 위한 기본입니다.



콜라겐의 효능 콜라겐 많은 음식 간단 정리
안녕하세요 J입니다. 요즘은 남녀노소 관계 없이 피부 관리에 관심이 많아지고 있는데요 오늘은 우리가 자주 듣는 콜라겐에 대해 알아볼까 합니다, 과연 콜라겐의 효능 에는 어떠한 것들이 있는
story.sapdox.com
임플란트 시술의 장단점 분석
임플란트 시술의 장점은 자연 치아처럼 기능 우수하고 외관이 유사하여 심미적으로 매우 만족스럽다는 것입니다. 또한, 주변 치아에 손상을 주지 않고 독립적으로 기능할 수 있어 장기적으로 안정적입니다. 그러나 실술의 단점으로는 초기 비용이 다소 높고 시술 기간이 길어질 수 있다는 점이 있습니다. 또한, 모든 환자가 임플란트 시술을 받을 수 있는 것은 아니며, 뼈의 양이나 건강 상태에 따라 적합성에 제한이 있을 수 있습니다. 따라서 임플란트 시술 전 충분한 상담과 검토가 필요합니다.
댓글