목 차
1. 위축성 위염이란?
위축성 위염은 위의 표면인 점막이 만성적인 염증으로 인해 얇아진 상태를 말합니다. 건강한 위점막은 위산과 소화효소를 적절히 분비하며 외부 자극으로부터 위를 보호하는 역할을 합니다. 하지만 염증이 오래 지속되면 점막이 손상되어 위축되고, 위산 분비가 감소하게 됩니다. 위축성 위염은 소화기관에서 흔히 발생하는 질환으로, 건강검진 시 위 내시경 검사에서 우연히 발견되는 경우가 많습니다. 특별한 증상이 없는 경우도 많지만, 방치하면 장상피화생을 거쳐 위암으로 발전할 가능성이 있기 때문에 적절한 관리가 필요합니다.



2. 위축성 위염 원인
위축성 위염의 주요 원인으로는 다음과 같은 것들이 있습니다.
(1) 헬리코박터 파일로리 균 감염
대부분의 위축성 위염은 헬리코박터 파일로리 균 감염이 주된 원인입니다. 이 균은 위 점막에 염증을 일으키고, 오랜 기간 지속되면 위축성 위염으로 발전합니다.
(2) 생활 습관 요인
- 맵고 짠 음식을 즐겨 먹는 식습관
- 만성적인 음주
- 커피나 담배 등의 자극물 섭취
- 불규칙한 식사 습관
- 스트레스
만성 위축성 위염 치료법 및 좋은 음식 나쁜 음식 간단 정리
안녕하세요 J입니다. 요즘 들어 소화가 잘 안 되거나 속이 불편한 분들이 많으신 것 같아요. 그래서 오늘은 만성 위축성 위염 치료법과 함께 이 질환에 대해 자세히 알아보고 만성 위축성 위염에
story.sapdox.com
(3) 약물 복용
진통제, 소염제, 스테로이드 등의 약물이 장기간 사용될 경우 위점막을 손상시킬 수 있습니다.
(4) 자가면역 반응
일부 사람들에게서는 자가면역 반응으로 위축성 위염(A형 위축성 위염)이 발생할 수 있습니다.
3. 위축성 위염 증상
위축성 위염은 특별한 증상이 없는 경우가 많지만, 다음과 같은 증상이 나타날 수 있습니다.
- 소화불량
- 식후 더부룩함
- 명치 부위 통증
- 속쓰림
- 메스꺼움이나 구역감
- 소화기능 저하



특히, 증상이 악화되는 경우 다음과 같은 증상이 나타날 수 있습니다.
- 공복이나 새벽에 극심한 속쓰림, 명치 통증
- 시거나 매운 음식에 의한 점막 자극 증상
- 소염진통제 복용 시 명치 통증
- 저산증에 의한 소화장애
4. 위축성 위염 진단 및 검사 방법
위축성 위염은 주로 다음과 같은 검사 방법으로 진단하게 됩니다.
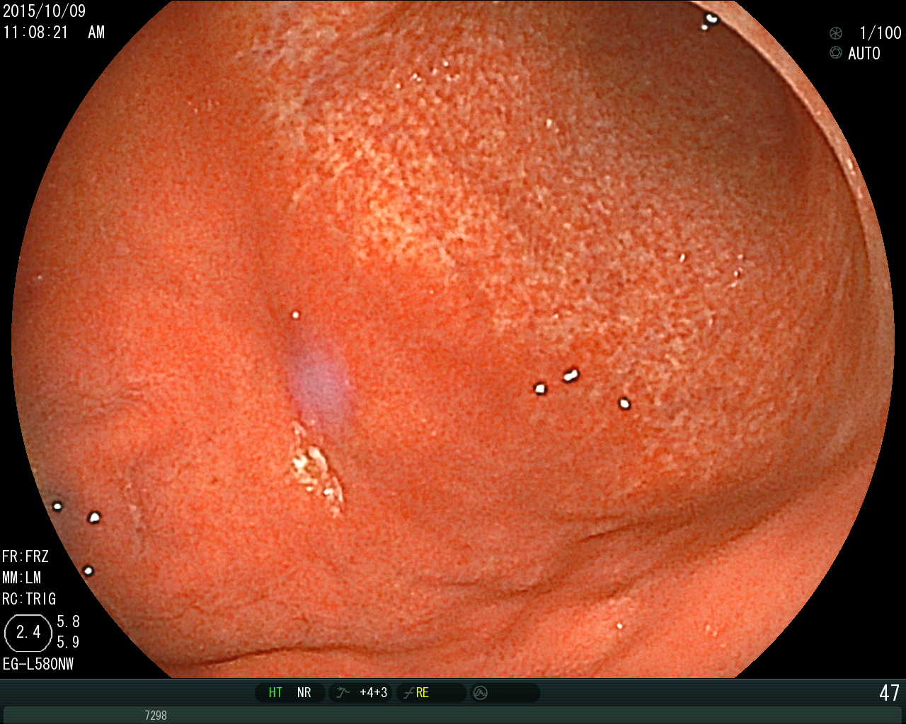
(1) 위내시경 검사
위축성 위염의 기본적인 진단은 위내시경 검사를 통해 이루어집니다. 내시경 검사 시 다음과 같은 특징적인 소견이 관찰됩니다:
- 위점막이 얇아진 상태
- 점막의 창백함
- 점막의 반짝거림
- 점막 아래 혈관이 투명하게 보임
- 위 주름의 감소



(2) 조직검사
내시경 검사 중 이상 소견이 발견되면 조직검사를 시행하여 위축성 위염의 심한 정도를 확인하고, 장상피화생이나 이형성증 같은 전암성 병변의 유무를 판단합니다.
(3) 헬리코박터 균 검사
위축성 위염 진단 후에는 헬리코박터 균 감염 여부를 확인하기 위한 검사를 시행합니다. 감염이 확인되면 제균 치료를 진행합니다.
5. 위축성 위염 치료 방법
위축성 위염은 완전한 회복이 어려울 수 있지만, 적절한 치료와 관리를 통해 증상을 완화하고 위암으로의 진행을 예방할 수 있습니다. 위축성 위염의 치료는 원인과 증상에 따라 다음과 같은 방법이 있습니다.
(1) 헬리코박터 제균 치료
- 위축성 위염의 주요 원인인 헬리코박터 균이 발견되면 항생제와 프로톤펌프억제제(PPI) 등을 포함한 제균 치료를 시행합니다.
- 제균 치료는 위점막의 더 이상의 손상을 막고 염증을 줄이는 데 도움이 됩니다.
위경련 증상과 좋은 음식,차 간단 정리
안녕하세요 J입니다. 첫 번째 소화기관인 위는 우리 몸에 정말 중요 역할을 하는데요. 그래서 오늘은 위경련 증상과 위경련에 좋은 음식 등을 정리해 보려고 합니다. 목 차위경련이란?위경
story.sapdox.com
(2) 약물 치료
- 위산 분비를 억제하는 약물(프로톤펌프억제제, H2 차단제 등)
- 위 점막 보호제
- 소화효소 보충제(위산 분비 감소로 인한 소화불량 개선)
(3) 식이요법 및 생활습관 개선
- 자극적인 음식 제한
- 규칙적인 식사
- 금주와 금연
- 스트레스 관리



(4) 정기적인 추적 관찰
위축성 위염이 있는 경우 정기적인 위내시경 검사(보통 1년 주기)를 통해 병변의 진행 상태를 확인합니다.
6. 위축성 위염 예방 및 관리 방법
위축성 위염을 예방하고 관리하기 위한 방법은 다음과 같습니다.
(1) 식이 관리
- 짜고 매운 음식, 자극적인 음식 섭취 줄이기
- 뜨거운 음식은 적당히 식혀서 먹기
- 신선한 과일과 채소, 특히 항산화 성분이 풍부한 식품(파, 마늘, 양파 등 백합과 채소) 섭취
- 규칙적인 식사 습관 유지
- 과식 피하기
역류성 식도염 증상, 좋은 음식 간단 정리
목 차역류성 식도염이란?역류성 식도염 원인역류성 식도염 증상역류성 식도염 합병증역류성 식도염 진단 과정과 검사 방법역류성 식도염 치료 방법역류성 식도염에 좋은 음식역류성 식도
story.sapdox.com
(2) 생활 습관 개선
- 금연
- 알코올 섭취 제한
- 카페인 섭취 제한
- 충분한 수면과 적절한 운동
- 스트레스 관리
(3) 정기적인 건강검진
- 위내시경 검사를 포함한 정기적인 건강검진
- 헬리코박터 균 감염 여부 확인 및 치료
(4) 약물 관리
- 위장에 자극을 줄 수 있는 약물(소염진통제 등) 장기 복용 피하기
- 불가피하게 복용해야 할 경우 의사와 상담하여 위 보호제 함께 복용
7. 위축성 위염과 위암의 관계
위축성 위염은 위암 발생의 중요한 위험 요소로 알려져 있습니다. 위축성 위염이 있으면 위암 발생 위험이 일반인보다 약 4~6배 높아질 수 있습니다.
(1) 위암으로의 진행 과정



일반적으로 위암으로 발전하는 단계는 다음과 같습니다.
- 정상 위점막
- 만성 위염
- 위축성 위염
- 장상피화생
- 이형성증
- 위암
위축성 위염이 있다고 해서 모두 위암으로 진행하는 것은 아니지만, 지속적인 관찰과 관리가 필요합니다. 특히 위축성 위염이 장상피화생으로 진행된 경우 더욱 주의가 필요합니다.
위암 초기증상과 위암에 좋은 음식 간단 정리
안녕하세요 J입니다. 오늘은 우리가 눈치 못 채는 사이에 찾아올 수 있는 위암에 대해 이야기해보려고 해요. 위암 초기증상과 함께 위암에 좋은 음식 등을 간단하게 정리해 보겠습니다. 목 차
story.sapdox.com
(2) 정기적인 검진의 중요성
위축성 위염이 있는 경우 정기적인 위내시경 검사를 받는 것이 중요합니다. 일반적으로 1년에 한 번 정도의 위내시경 검사가 권장됩니다. 정기 검진을 통해 위암의 전암 병변을 조기에 발견하고 적절히 대처할 수 있습니다.
댓글