안녕하세요 J입니다. 요즘 들어 소화가 잘 안 되거나 속이 불편한 분들이 많으신 것 같아요. 그래서 오늘은 만성 위축성 위염 치료법과 함께 이 질환에 대해 자세히 알아보고 만성 위축성 위염에 좋은 음식과 나쁜 음식에 대해 이야기해 보려고 합니다.
목 차
1. 만성 위축성 위염이란?
만성 위축성 위염은 위 점막의 만성 염증으로 인해 위벽이 점차 얇아지고 기능이 저하되는 질환입니다. 이는 헬리코박터 파일로리균 감염, 과도한 음주, 흡연, 특정 약물 복용 등이 주요 원인으로 작용합니다. 만성 위축성 위염 치료법을 통해 적절히 관리하지 않으면 소화 효소와 위산 분비가 감소하여 소화기 기능 저하 및 합병증을 초래할 수 있습니다.



2. 만성 위축성 위염 원인과 증상
만성 위축성 위염의 주된 원인은 다음과 같은 요인들이 발병에 영향을 미칩니다:
- 헬리코박터 파일로리균 감염
- 장기적인 비스테로이드성 항염증제(NSAIDs) 사용
- 과도한 알코올 소비
- 담배 흡연
주요 증상으로는 상복부 통증, 소화 불량, 메스꺼움, 구토 등이 있으며, 이러한 증상은 점진적으로 악화될 수 있습니다. 따라서 증상을 느낀다면 조기에 만성 위축성 위염 치료법을 통해 관리해야 합니다
위암 초기증상과 위암에 좋은 음식 간단 정리
안녕하세요 J입니다. 오늘은 우리가 눈치 못 채는 사이에 찾아올 수 있는 위암에 대해 이야기해보려고 해요. 위암 초기증상과 함께 위암에 좋은 음식 등을 간단하게 정리해 보겠습니다. 목 차
story.sapdox.com
3. 진단 절차와 필요 검사
진단은 환자의 병력 청취와 신체 검사에서 시작됩니다. 일반적으로 아래의 검사들이 이루어지며, 정확한 진단을 위해 추가적인 혈액 검사나 대변 검사가 시행되기도 합니다. 이를 통해 적절한 치료 계획을 수립할 수 있습니다.
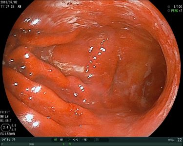
- 위내시경 검사 : 위 점막 상태를 직접 확인
- 조직 생검 : 위 조직 샘플 채취로 세포 변화를 확인
- 헬리코박터 파일로리 검사 : 감염 여부 확인
4. 합병증과 위험 요인
만성 위축성 위염을 방치하면 다음과 같은 합병증이 발생할 수 있으며, 합병증의 위험을 줄이기 위해서는 조기에 만성 위축성 위염 치료법을 시행하고 생활 습관을 개선해야 합니다.
- 위암 : 장기간의 위염으로 인해 세포 변화가 발생하여 위암으로 이어질 위험이 있습니다.
- 영양소 결핍 : 위산 분비 감소로 인해 비타민 B12, 철분 등의 흡수 저하
- 소화 장애 : 위장관 기능 저하로 인한 지속적인 소화 불량
5. 치료 방법과 관리 방안
만성 위축성 위염 치료는 주로 원인을 제거하는 데 초점이 맞춰집니다: 또한, 치료와 함께 정기적으로 내시경 검사를 받는 것도 건강한 위를 위해서 매우 중요합니다.
- 헬리코박터 파일로리균 감염 치료 : 항생제와 위산 분비 억제제를 병행
- 약물 치료 : 위 점막 보호제 및 소화 촉진제 사용
- 생활 습관 개선 : 금연, 절주, 규칙적인 식사



6. 식단 조절의 중요성과 주의할 점
식단 조절은 만성 위축성 위염 증상을 완화하는 데 핵심적인 역할을 합니다. 다음은 기본적인 주의 사항이며, 이러한 식습관을 실천하면 증상 완화뿐 아니라 위장 건강을 유지하는 데 도움이 됩니다.
- 자극적이고 매운 음식 피하기
- 저지방, 고섬유질 음식 섭취
- 소량씩 자주 먹는 식사
7. 만성 위축성 위염에 좋은 음식
위염에 좋은 음식은 비타민A, C가 풍부한 식품과 양질의 단백질이 있습니다. 다음과 식품들을 꾸준히 섭취하면 만성 위축성 위염 치료법과 함께 증상 완화에 큰 도움이 됩니다.
- 양배추 : 위를 보호하고 위의 회복에 도움을 줍니다.
- 연근 : 위산의 분비 억제하여 위염 예방에 좋습니다.
- 브로콜리 : 위를 보호하고 헬리코박터균을 제거하는데 효과가 있습니다.
- 오트밀 : 소화가 잘 되고 위 점막을 보호합니다.
- 바나나 : 위산 중화를 돕고 소화를 촉진시킵니다.
- 생강 : 메스꺼움과 소화 불량 완화시켜 줍니다.
- 유제품 : 유산균이 장 내 환경 개선시켜 줍니다.





8. 만성 위축성 위염에 나쁜 음식과 생활 습관 개선 방법
만성 위축성 위염 환자가 피해야 할 음식은 다음과 같습니다:
- 매운 음식과 산성 식품 : 위 점막을 자극해 위축성 위염을 초래할 수 있습니다.
- 카페인이 함유된 음료 : 카페인은 위역류를 유발합니다.
- 알코올 : 위염이나 위출혈을 일으킬 수 있습니다.
위 건강을 위해서는 다음과 생활 습관 개선이 중요합니다.
- 금연과 금주
- 규칙적인 식사
- 잠들기 2시간전에 음식 섭취 금지
- 폭식과 야식 금지
- 소염진통제를 포함한 약물 남용 금지
- 스트레스 관리
댓글