목 차
- 무지외반증이란?
- 무지외반증 원인
- 무지외반증 증상
- 무지외반증 합병증
- 무지외반증 진단과정 및 검사방법
- 무지외반증 치료방법
- 무지외반증에 좋은 스트레칭
- 무지외반증 예방을 위한 생활 습관
1. 무지외반증이란?
무지외반증(Hallux valgus)은 엄지발가락이 둘째 발가락 쪽으로 심하게 휘어지면서 엄지발가락과 관절을 이루는 첫 번째 중족골이 안쪽으로 치우쳐지는 변형을 의미합니다. 이로 인해 발 앞쪽이 넓어지거나 더 튀어나오게 되어 통증과 미용적 문제를 초래할 수 있습니다. 무지외반증은 주로 여성에게 발생하며, 젊은 연령대에서도 흔히 볼 수 있습니다. 초기 증상은 발의 형태 변화와 함께 발가락의 통증이 동반됩니다. 심한 경우에는 보행에도 영향을 줄 수 있습니다.
2. 무지외반증 원인



무지외반증의 원인은 여러 가지가 있으며, 주요 원인은 다음과 같습니다.
- 유전적 요인 : 가족력이 있는 경우 무지외반증이 발생할 가능성이 높습니다.
- 신발 착용 습관 : 하이힐이나 좁은 발끝의 신발을 자주 신으면 발가락의 변형과 통증이 유발됩니다.
- 발의 구조적 문제 : 평발 혹은 높은 아치와 같은 발의 구조적 특징이 무지외반증을 일으킬 수 있습니다.
이 외에도 노화로 인한 인대의 약화 등이 무지외반증을 유발하는 요소로 작용할 수 있습니다.
3. 무지외반증 증상
골관절염 증상, 좋은 음식, 좋은 운동 간단 정리
목 차골관절염이란?골관절염 원인 골관절염 증상 골관절염 합병증 골관절염 진단 과정 및 검사 방법골관절염 치료 방법골관절염에 좋은 음식골관절염에 좋은 운동1. 골관절염이란?골관절
story.sapdox.com
무지외반증의 주된 증상은 다음과 같습니다.
- 엄지발가락의 휘어짐 : 엄지발가락이 둘째 발가락 쪽으로 기울어지는 현상이 발생합니다.
- 통증 : 엄지발가락의 안쪽에 돌출된 부위가 신발에 마찰되어 통증이 발생할 수 있습니다.
- 부기와 염증 : 변형된 관절 부위에 염증이 발생하고 부기가 있을 수 있습니다.
- 보행의 변화 : 발가락 변형으로 인해 걸음걸이가 변화할 수 있습니다.
4. 무지외반증 합병증
무지외반증이 방치되면 아래와 같은 합병증이 발생할 수 있습니다.
- 관절염 : 관절에 지속적인 압력이 가해져 관절염이 발생할 수 있습니다.
- 무릎 및 허리 통증 : 발의 변형으로 인해 다른 관절에 비정상적인 하중이 가해져 통증이 유발됩니다.
- 변형성 족부변형 : 무지외반증이 진행되면 다른 발가락이나 발의 구조에도 변화가 생길 수 있습니다.
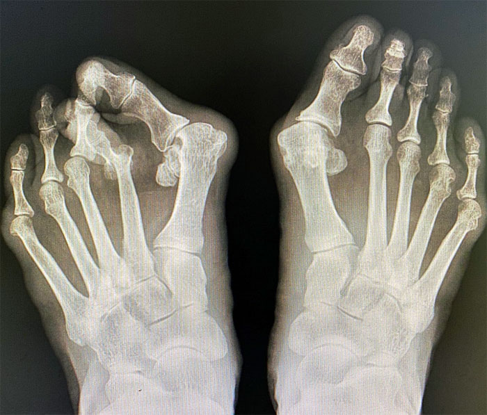
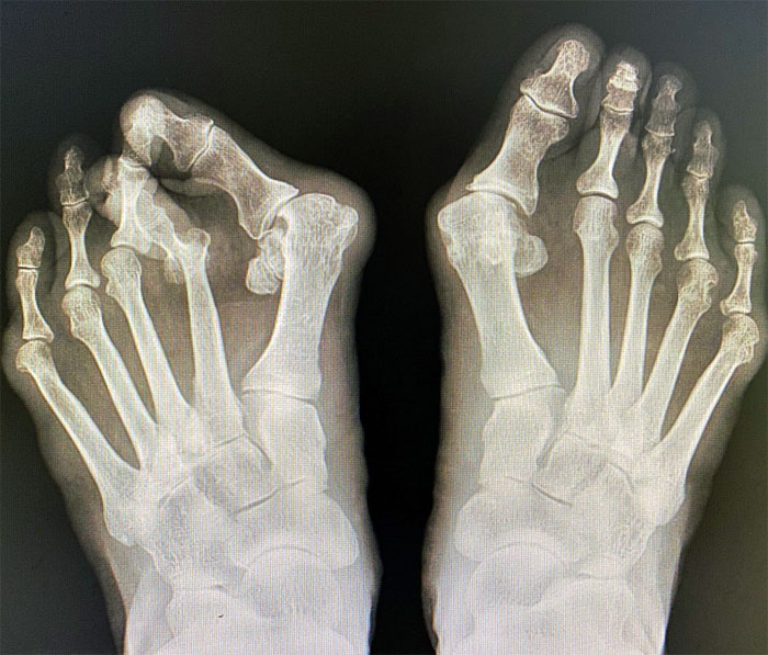
5. 무지외반증 진단과정 및 검사방법



무지외반증의 진단은 다음과 같은 방법으로 진행됩니다.
- 병력 청취 : 환자의 증상에 대한 자세한 질문과 병력 조사가 이루어집니다.
- 신체검사 : 의사가 발가락의 변형과 통증 유무를 검사합니다.
- X-선 검사 : 발의 구조를 확인하기 위해 X-선을 촬영하여 변형 정도를 평가합니다.
- MRI 또는 CT : 필요에 따라 추가적인 이미징 검사를 통해 연조직 손상이나 합병증을 확인할 수 있습니다.
6. 무지외반증 치료방법
무지외반증의 치료는 증상의 심각도와 환자의 상태에 따라 달라질 수 있습니다.
(1) 비수술적 치료
- 신발 변경 : 통기성이 좋고 꽉 조이지 않는 신발로 바꾸는 것이 좋습니다.
- 물리치료 : 발의 근력을 강화하고 유연성을 증진시키기 위한 물리치료를 받을 수 있습니다.
- 통증 완화제 : 비스테로이드 항염증제가 사용될 수 있습니다.
(2) 수술적 치료
- 무지외반증 수술적 치료는 뼈를 절골하여 올바른 위치로 교정합니다. 일반적으로 척추마취를 통해 진행되며, 수술 후 6주간 무지외반증 전용 보조기를 착용해야 합니다. 이 수술은 통증 완화와 재발 방지에 효과적입니다.
7. 무지외반증에 좋은 스트레칭






무지외반증 예방 및 통증 완화를 위해 다음과 같은 스트레칭을 추천하며, 하루에 여러 번 시행하는 것이 좋습니다.
- 엄지발가락 방바닥 스트레칭 : 엄지발가락을 바닥에 누르고, 다른 발가락을 들어 올리며 이를 10초간 유지합니다. 이 운동은 발의 근육을 강화하고 발가락의 유연성을 높이는 데 도움을 줍니다.
- 발가락 돌리기 : 엄지발가락을 손으로 잡고 바깥쪽으로 돌리는 운동을 반복합니다. 이때 10초간 유지한 후, 반대 방향으로도 스트레칭합니다.
- 거꾸로 스트레칭 : 발을 바닥에 댄 상태에서, 발끝이 바닥에 닿은 채로 발뒤꿈치를 들어 올립니다. 이 운동은 발등과 발가락의 근육을 길게 늘여 주고, 발바닥의 긴장을 완화하는 데 효과적입니다.
- 발바닥 웅크리기 : 발바닥의 아치를 높이기 위해 발바닥을 움켜잡고 10초간 유지합니다. 이 운동은 발 아치 근육을 강화하는 데 도움을 줍니다.
- 골프공 마사지 : 바닥에 골프공을 놓고 발바닥으로 골프공을 굴려 마사지하는 운동입니다. 발바닥의 긴장된 근육을 풀어 주고 혈액 순환을 돕습니다.
8. 무지외반증 예방을 위한 생활 습관
무지외반증 예방을 위한 생활 습관은 다음과 같습니다.
- 편안한 신발 선택 : 발에 잘 맞고 편안한 신발을 착용합니다.
- 정기적인 발 운동 : 발가락과 발을 자주 움직이거나 스트레칭하는 습관을 기릅니다.
- 체중 관리 : 과체중은 발에 추가적인 압력을 가해 변형을 유발할 수 있으므로 적정 체중을 유지합니다.
- 발 건강 체크 : 정기적으로 발 전문의의 검진을 받아 발 건강을 체크하는 것이 중요합니다.
무지외반증은 조기 치료와 예방이 매우 중요합니다. 발가락의 변형을 조기에 발견하고 적절한 관리와 치료를 한다면 증상을 완화하고 합병증을 예방할 수 있습니다. 전문가와의 상담을 통해 최적의 치료와 관리 방법을 찾는 것이 바람직합니다.
류마티스 관절염 초기증상, 치료법 간단 정리
목 차류마티스 관절염이란?류마티스 관절염 원인류마티스 관절염 초기 증상류마티스 관절염이 일상생활에 미치는 영향류마티스 관절염 진단 방법류마티스 관절염 치료법류마티스 관절염
story.sapdox.com
댓글