목 차
1. 골관절염이란?
골관절염(Osteoarthritis)은 관절의 연골이 마모되거나 손상되어 발생하는 퇴행성 관절 질환입니다. 관절의 연골은 뼈와 뼈 사이에 위치하여 충격을 흡수하고, 원활한 움직임을 도와줍니다. 그러나 시간이 지나면서 연골이 닳아 없어지는 골관절염은 관절 주변의 뼈, 인대, 관절막 등에도 영향을 미쳐 통증, 기능 장애, 관절 변형을 초래할 수 있습니다.
2. 골관절염 원인



골관절염의 발생 원인은 다양하며, 주요 원인은 다음과 같습니다.
- 노화 : 나이가 들면서 관절의 연골이 자연적으로 줄어들고 탄력이 감소합니다.
- 비만 : 과체중은 체중 부하 관절에 큰 부담을 주게 되어 골관절염으로 이어질 수 있습니다.
- 반복적 외상 : 운동이나 작업 중 관절에 반복적으로 가해지는 압력이나 외상은 관절의 변화를 초래할 수 있습니다.
- 유전적 요인 : 가족 내에 골관절염 환자가 있는 경우, 그 가능성이 높아집니다.
3. 골관절염 증상
류마티스 관절염 초기증상, 치료법 간단 정리
목 차류마티스 관절염이란?류마티스 관절염 원인류마티스 관절염 초기 증상류마티스 관절염이 일상생활에 미치는 영향류마티스 관절염 진단 방법류마티스 관절염 치료법류마티스 관절염
story.sapdox.com
골관절염의 증상은 서서히 나타나는 경우가 많으며, 주요 증상은 다음과 같습니다.
- 관절 통증 : 움직일 때 통증이 발생하며, 가만히 있을 때는 통증이 줄어듭니다.
- 관절 뻣뻣함 : 아침 기상 시 또는 휴식 후에 관절이 뻣뻣해지는 느낌이 듭니다.
- 부종 : 관절 주변이 붓고, 생활에 불편함을 줄 수 있습니다.
- 운동 제한 : 관절의 활동 범위가 줄어들며, 특정 동작이 힘들어집니다.
4. 골관절염 합병증
골관절염이 심해지면 여러 가지 합병증을 유발할 수 있습니다.
- 신경 증상 : 염증이나 압박으로 인해, 인근 신경이 영향을 받아 저림이나 감각 이상이 발생할 수 있습니다.
- 관절 변형 : 시간이 지나면서 관절 모양이 변형되며, 기능을 잃게 됩니다.
- 우울증 : 만성 통증으로 인해 정신적인 고통을 겪는 환자도 많습니다.
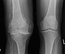
5. 골관절염 진단 과정 및 검사방법
골관절염 진단은 다음과 같은 과정을 거칩니다.
- 문진 및 증상 확인 : 의사가 환자의 증상, 병력, 가족력을 확인합니다.
- 신체 검사 : 관절의 운동 범위, 부종, 통증 정도를 평가합니다.
- 측정검사 : X-ray, MRI 등의 영상 촬영을 통해 관절의 상태를 확인합니다.
이러한 검사를 통해 골관절염의 진행 정도와 손상의 위치를 평가하여 적절한 진단을 내리게 됩니다.



6. 골관절염 치료 방법
골관절염 치료에는 여러 가지 방법이 있으며, 증상의 경중에 따라 적절한 방법을 선택해야 합니다.
(1) 비수술적 치료
- 약물 치료 : 비스테로이드성 소염진통제(NSAIDs), 코데인과 같은 진통제를 사용합니다.
- 물리치료 : 근육 강화를 통해 통증을 줄이고, 관절의 기능을 향상합니다.
- 생활 습관 개선 : 체중 조절, 적절한 운동 등을 통해 증상을 관리합니다.
(2) 수술적 치료
증상의 호전이 없거나 합병증이 발생한 경우에는 관절 경이나 인공 관절 치환술 등을 고려할 수 있습니다.
7. 골관절염에 좋은 음식
골관절염 예방과 관리를 위해서는 다음과 같은 음식을 섭취하는 것이 좋습니다.
- 항산화 식품 : 베리류, 다크 초콜릿, 시금치 등의 식품은 염증을 줄이는 데 도움이 됩니다.
- 오메가-3 지방산 : 연어, 고등어와 같은 기름진 생선은 관절의 염증을 완화하는 데 효과적입니다.
- 칼슘 및 비타민 D : 우유, 요구르트, 두부 등은 뼈 건강을 유지하는 데 필수적입니다.






8. 골관절염에 좋은 운동
골관절염 환자가 실천할 수 있는 운동으로는 다음과 같은 것들이 있습니다.
- 유산소 운동 : 걷기, 수영, 자전거 타기 등은 체중 부담이 적어 관절에 무리 없이 운동할 수 있습니다.
- 근력 운동 : 대퇴 사두근, 햄스트링 등의 근력 강화를 위한 적절한 운동은 관절의 안정성을 높이는 데 도움이 됩니다.
- 스트레칭 : 관절의 유연성을 높여주고, 운동 범위를 늘리는 데 필요합니다.
손가락 마디 통증 손가락 관절염 치료법 간단 정리
안녕하세요 J입니다. 가끔 손가락이 찌릿찌릿하면서 저리고 심하면 통증까지 느끼게 되는 데요 오늘은 손가락 마디 통증 원인, 손가락 관절염에 대해 정리해 보려고 합니다.손가락 마디 통증의
story.sapdox.com
댓글