목차
1. 모야모야병이란?
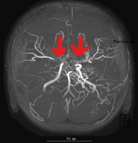
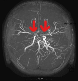
모야모야병(Moyamoya Disease)은 뇌의 주요 혈관인 내경동맥이 점차 좁아지거나 막혀, 뇌로 가는 혈류가 줄어들고, 이를 보상하기 위해 뇌 안에 가느다란 새로운 혈관이 형성되는 희귀 질환입니다. 이 혈관들은 뇌혈관조영술 영상에서 연기처럼 퍼지는 모습으로 보이는데, 일본어로 ‘모야모야’(もやもや)는 안개가 자욱한 모양을 의미합니다. 이러한 특이한 혈관 소견 때문에 ‘모야모야병’이라는 명칭이 붙었습니다. 주로 "소아기와 청장년기(20~40대)"에 발생하며, 뇌출혈, 뇌경색, 일과성 허혈 발작 등을 유발할 수 있어 조기 발견과 치료가 매우 중요합니다.



2. 모야모야병 원인
정확한 발병 원인은 아직 명확히 밝혀지지 않았습니다. 하지만 다음과 같은 요인들이 관련이 있을 것으로 보고되고 있습니다.
뇌경색 초기증상과 치료방법 간단 정리
목차뇌경색이란?뇌경색의 초기 증상뇌경색의 주요 원인진단 과정 및 필요한 검사뇌경색이 일상생활에 미치는 영향즉각적인 응급처치뇌경색의 치료방법뇌질환 예방을 위한 생활습관 개선안녕
story.sapdox.com
① 유전적 요인
가족력이 있는 경우가 많고, 특히 RNF213 유전자 돌연변이가 동아시아인에서 주요 원인으로 지목되고 있습니다.
일본, 한국, 중국 등 동아시아 인종에서 높은 발생률을 보이는 것으로 알려져 있습니다.
② 자가면역 및 염증성 요인
자가면역 질환이나 염증 반응이 내경동맥을 좁아지게 하여 혈류를 제한하는 경우도 있습니다.



③ 동반 질환
다운증후군, 신경섬유종증, 갑상선 질환, 철결핍성 빈혈 등과 연관되어 발병할 가능성도 있습니다.
이 경우 이차성 모야모야 증후군으로 분류되며, 원발성 모야모야병과는 구분됩니다.
④ 환경적 요인
환경적 자극이나 스트레스 등도 영향을 줄 수 있으나, 단독 요인으로는 확인된 바 없습니다.
3. 모야모야병 증상
모야모야병은 연령대에 따라 증상이 다르게 나타나는 경우가 많습니다.
① 소아에서의 증상
- 일과성 허혈 발작 (Transient Ischemic Attack, TIA):
일시적으로 신체 한쪽 마비, 언어 장애, 시야 흐림 등이 나타났다가 사라짐 - 두통, 발작(간질), 행동 변화, 집중력 저하
- 심하면 뇌경색으로 이어질 수 있음



② 성인에서의 증상
- 뇌출혈이 더 흔하게 발생
- 뇌내 출혈(특히 기저핵, 뇌실 주위 부위)로 인한 심한 두통, 의식 저하
- 감각 저하, 편측 마비, 언어장애, 시야장애 등 뇌졸중 유사 증상
- 두통과 구토, 발작 등이 동반될 수 있음
③ 공통 증상
- 스트레스, 과호흡, 울음, 운동, 목욕 등으로 증상이 유발 또는 악화
- 증상은 서서히 진행되며, 뇌혈류 감소가 심해지면 회복이 어려운 손상으로 이어질 수 있음



4. 모야모야병 검사 및 진단방법
모야모야병은 증상과 병력을 바탕으로 의심되며, 다음의 영상 검사를 통해 진단이 확정됩니다.
① MRI 및 MRA(자기공명혈관조영술)
- 뇌혈관의 좁아진 부위 및 대체 혈관망(모야모야 혈관)을 시각화함
- 뇌조직의 손상, 허혈 또는 출혈 여부도 동시에 확인 가능
② CT 혈관조영술 (CTA)
- 뇌혈관의 구조적 변화 확인
- 급성기 평가 시 빠르게 사용할 수 있으나, MRI/MRA보다 정밀도는 낮음
③ 뇌혈관조영술(DSA)
- 진단의 골드 스탠다드
- 정맥 또는 동맥에 조영제를 주입한 후 뇌 전체 혈관망을 실시간으로 촬영
- 모야모야 혈관의 특성적인 모습(연기처럼 퍼짐)을 확인할 수 있음



④ 뇌혈류검사(SPECT, PET)
- 뇌 각 부위의 혈류량 평가
- 허혈 정도를 파악하여 수술 적응 여부 결정 시 사용됨
⑤ 유전자 검사
- 가족력이 있는 경우 RNF213 유전자 변이 여부 확인
- 질병 감별과 가족성 위험도 평가에 도움
5. 모야모야병 치료방법
모야모야병은 진행성 뇌혈관 질환으로 약물만으로는 완치가 어렵고, 수술적 치료가 핵심입니다.
(1) 비수술적 치료 (보존적 치료)
뇌건강을 지키는 습관 14가지
뇌건강을 지키는 습관 14가지를 알아보도록 하겠습니다. 우리 몸의 어느 부분이든 시간이 지남에 따라 약해지며 뇌도 예외는 아닙니다. 좋은 기억력과 날카로운 사고력은 모든 사람의 소중한 자
story.sapdox.com
① 항혈소판제 투여
- 혈류를 개선하고 혈전 형성을 예방하여 일과성 허혈 발작을 감소
- 뇌출혈이 있는 경우에는 사용에 주의
② 증상 완화 치료
- 간질 발작 조절, 두통 관리 등
(2) 수술적 치료 (재혈관화 수술)
혈류가 부족한 뇌 부위에 새로운 혈류 통로를 확보해주는 방식입니다.
① 직접 우회술 (Direct Bypass)
- 두개골 외의 동맥(예: 측두동맥)을 뇌혈관에 직접 연결하여 혈류 공급
- 수술 후 즉각적인 혈류 회복 가능



② 간접 우회술 (Indirect Bypass)
- 혈관이 풍부한 조직(근막, 두피 등)을 뇌표면에 이식해 신생혈관이 자라나도록 유도
- 시간이 지나면서 서서히 혈류가 증가
③ 복합 우회술
- 직접 + 간접 방식 병행
- 소아보다는 성인에서 주로 사용됨
(3) 수술 후 관리
- 수술 후 뇌졸중 위험이 줄어들고, 증상 개선 기대
- 정기적인 MRI/MRA를 통해 혈류 상태와 신생혈관 발달 확인
- 물리치료, 작업치료 등 재활 치료 병행 필요
결론
모야모야병은 드물지만 심각한 뇌혈관 질환으로, 조기에 진단하고 적절히 치료하지 않으면 뇌출혈이나 뇌경색으로 인한 신경학적 장애로 이어질 수 있습니다.
특히 소아기 발병 시 인지 및 발달 지연까지 초래할 수 있으므로 주의 깊은 관찰과 영상 검사가 필수입니다.
현재로서는 수술을 통한 재혈관화 치료가 유일한 근본적 치료법이며, 발병 원인 규명과 조기 선별 검사의 개발이 활발히 연구되고 있습니다.
댓글