목차
1. 뇌동맥류란?
뇌동맥류(腦動脈瘤, Cerebral Aneurysm)는 뇌혈관 벽이 약해지면서 풍선처럼 불룩하게 부풀어 오른 상태를 말합니다. 혈관 벽이 팽창해 있는 이 부분은 정상 혈관보다 훨씬 얇고 약하기 때문에, 고혈압이나 스트레스, 충격 등에 의해 쉽게 파열될 수 있습니다. 파열 시에는 지주막하출혈이라는 생명을 위협하는 뇌출혈이 발생할 수 있어 조기 진단과 치료가 매우 중요합니다.



2. 뇌동맥류 원인
(1) 선천적 요인
① 유전적 혈관 이상: 가족력에 따라 혈관벽이 약한 구조를 타고날 수 있습니다.
② 결합조직 질환: 마르판 증후군, 엘러스-단로스 증후군과 같은 유전병도 원인이 됩니다.
뇌건강을 지키는 습관 14가지
뇌건강을 지키는 습관 14가지를 알아보도록 하겠습니다. 우리 몸의 어느 부분이든 시간이 지남에 따라 약해지며 뇌도 예외는 아닙니다. 좋은 기억력과 날카로운 사고력은 모든 사람의 소중한 자
story.sapdox.com
(2) 후천적 요인
① 고혈압: 높은 혈압은 혈관 벽에 지속적인 압력을 가해 뇌동맥류를 유발할 수 있습니다.
② 흡연 및 음주: 흡연은 혈관을 약화시키고, 과도한 음주는 혈압을 상승시켜 위험 요인이 됩니다.
③ 뇌손상: 두부 외상이 동맥류 발생을 촉진할 수 있습니다.
④ 동맥경화증: 혈관의 탄력성이 떨어지고, 혈류 압력이 집중되면서 혈관 벽이 약화됩니다.
3. 뇌동맥류 증상
뇌동맥류는 파열되기 전까지 대부분 무증상입니다. 하지만 다음과 같은 경고 증상이 있을 수 있으므로 주의가 필요합니다.
(1) 파열 전 증상
① 편측 안면 통증이나 두통
② 시야 흐림 또는 복시(물체가 두 개로 보임)
③ 눈꺼풀 처짐, 안구 통증



(2) 파열 시 증상
① 갑작스럽고 심한 두통 (번개처럼 쏘는 통증)
② 구토 및 경련
③ 의식 혼미 또는 실신
④ 목 경직, 빛에 대한 과민 반응
⑤ 반신마비, 언어장애, 시각 장애
이러한 증상이 나타난다면 즉시 응급실을 찾아야 합니다.
4. 뇌동맥류 검사 및 진단 방법
(1) 비침습적 검사
① CT(컴퓨터단층촬영): 출혈 여부와 동맥류 위치를 빠르게 확인할 수 있습니다.
② MRI(자기공명영상): 동맥류의 크기와 형태 파악에 유용합니다.
③ MRA(자기공명혈관조영술): 뇌혈관의 흐름과 동맥류 유무를 평가합니다.



(2) 침습적 검사
① 뇌혈관조영술(DSA): 가장 정확한 검사로, 동맥류의 위치, 크기, 형태를 정밀하게 파악할 수 있습니다. 치료 계획 수립에 중요한 역할을 합니다.
5. 뇌동맥류 치료 방법
뇌동맥류 치료는 파열 여부와 동맥류의 크기, 위치, 환자의 전신 상태를 고려해 결정됩니다.
(1) 수술적 치료
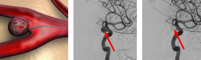
① 클리핑 수술: 머리를 열고 동맥류 목을 특수한 금속 클립으로 집어 혈류를 차단합니다.
② 코일 색전술: 대퇴부에서 삽입한 카테터를 통해 뇌혈관으로 접근해, 동맥류 내에 백금 코일을 넣어 혈류를 차단하는 비개두술입니다.


(2) 보존적 치료
동맥류가 작고 파열 위험이 낮은 경우 정기적인 모니터링과 약물요법으로 경과를 관찰합니다. 고혈압 조절과 금연, 생활습관 개선이 필수입니다.
6. 뇌동맥류에 좋은 음식
혈관 건강을 돕고 동맥류 위험을 낮추기 위해 다음과 같은 음식을 추천합니다.
① 등푸른 생선(고등어, 연어 등): 오메가-3 지방산이 풍부하여 염증을 줄이고 혈압을 안정시킵니다.
② 녹황색 채소(시금치, 브로콜리 등): 엽산과 항산화 성분이 풍부해 혈관벽을 보호합니다.
③ 견과류(호두, 아몬드): 불포화지방산이 혈관을 탄력 있게 유지합니다.
④ 마늘: 혈액 순환 개선에 도움이 됩니다.
⑤ 베리류(블루베리, 아사이베리): 항산화 효과가 뛰어나 혈관 노화를 늦춥니다.



※ 과도한 염분, 포화지방, 가공식품, 술 등은 피하는 것이 좋습니다.
7. 뇌동맥류 예방 및 관리를 위한 생활습관
(1) 고혈압 관리
정기적으로 혈압을 측정하고, 필요시 약물 복용을 병행합니다.
(2) 금연과 절주
① 니코틴은 혈관 벽을 직접 손상시키므로 금연은 필수입니다.
② 과도한 음주는 혈압을 올리므로 주의가 필요합니다.



(3) 꾸준한 운동
걷기, 수영, 요가 같은 유산소 운동은 혈관 탄력을 높이고 혈압 조절에 효과적입니다.
(4) 스트레스 관리
명상, 심호흡, 취미 활동 등을 통해 정신적 긴장을 완화시키는 것이 중요합니다.
(5) 정기적인 건강검진
가족력이나 위험 인자가 있다면 40세 이후에는 뇌혈관 검진을 정기적으로 받는 것이 좋습니다.
뇌동맥류는 조기 발견과 꾸준한 관리만으로도 충분히 예방과 치료가 가능한 질환입니다. 특히 무증상 상태에서 발견되는 경우가 많기 때문에 평소 혈관 건강에 관심을 가지고, 이상 징후가 느껴진다면 늦지 않게 검사를 받는 것이 중요합니다. 건강한 식습관과 생활습관이 뇌동맥류 예방의 핵심입니다.
혈관청소에 좋은 음식 좋은 차 간단 정리
안녕하세요 J입니다. 우리 몸 구석구석 퍼져 있는 혈관의 총길이는 10만km10만 km라고 알려져 있습니다. 오늘은 우리 건강에 직접적인 관계가 있는 혈관에 대해 알아보고 혈관청소에 좋은 음식, 좋
story.sapdox.com
댓글