목차
1. 고관절이란?
고관절은 골반과 대퇴골이 만나는 관절로, 인체에서 가장 크고 강한 관절 중 하나입니다. 이 관절은 공 모양의 대퇴골 두부와 그것을 감싸는 비구라는 구조로 구성되어 있으며, 몸의 체중을 지탱하고 걷기, 뛰기, 앉기, 서기 등의 동작을 가능하게 합니다. 고관절은 연골, 인대, 점액낭, 근육 등 다양한 조직이 유기적으로 작용하여 움직임과 안정성을 동시에 제공합니다.



2. 고관절 통증 원인
고관절 통증은 매우 다양한 원인으로 발생할 수 있으며, 주요 원인은 다음과 같습니다.
골관절염 증상, 좋은 음식, 좋은 운동 간단 정리
목 차골관절염이란?골관절염 원인 골관절염 증상 골관절염 합병증 골관절염 진단 과정 및 검사 방법골관절염 치료 방법골관절염에 좋은 음식골관절염에 좋은 운동1. 골관절염이란?골관절
story.sapdox.com
① 퇴행성 관절염(고관절 관절염)
노화로 인해 연골이 닳아 없어지면서 통증과 염증이 생깁니다. 중장년층에서 흔히 나타나며, 아침에 뻣뻣하거나 움직일수록 나아지는 특징이 있습니다.
② 대퇴골두 무혈성 괴사
대퇴골의 혈류 공급이 차단되면서 뼈조직이 괴사하는 질환으로, 젊은층에서도 나타날 수 있습니다. 주로 음주, 스테로이드 사용, 외상 등이 원인이 됩니다.



③ 고관절 충돌 증후군(Femoroacetabular Impingement, FAI)
고관절의 뼈 구조 이상으로 뼈끼리 충돌해 통증이 발생합니다. 활동량이 많은 젊은층에서 많이 발생합니다.
④ 점액낭염 및 건염
고관절 주변의 점액낭 또는 힘줄에 염증이 생기면 통증이 나타납니다. 과도한 운동이나 반복된 움직임이 원인입니다.
⑤ 고관절 골절 또는 외상
넘어짐, 사고 등으로 인해 고관절 부위에 직접적인 손상이 가해질 경우 심한 통증과 기능 저하가 나타납니다.



3. 고관절 통증 증상
고관절 통증은 원인에 따라 다양한 증상으로 나타날 수 있습니다.
① 사타구니 통증
고관절에 문제가 있을 경우 통증이 허벅지 안쪽 또는 사타구니 부위에 나타나는 경우가 많습니다.
② 움직임 제한
앉았다 일어날 때나 다리를 돌릴 때 통증이 심하고, 움직임의 범위가 제한되기도 합니다.


③ 절뚝거림
고관절 기능 저하로 인해 걸을 때 다리를 절거나, 체중을 싣는 데 어려움이 있습니다.
④ 야간 통증
누워 있을 때 특히 한쪽으로 누우면 통증이 더 심해지는 경우가 있습니다.
4. 고관절 통증 검사 및 진단 방법
정확한 진단을 위해서는 다음과 같은 검사들이 진행됩니다.
① 문진 및 이학적 검사
환자의 증상, 통증의 위치, 활동 범위 등을 확인하며, 고관절의 회전 및 움직임 상태를 평가합니다.


② X선 검사
고관절의 뼈 구조, 관절 간격, 골절 유무 등을 확인하는 기본적인 영상 검사입니다.
③ MRI(자기공명영상)
연골, 힘줄, 인대, 점액낭 등 연부 조직의 손상 여부를 확인할 수 있어 충돌 증후군이나 무혈성 괴사 진단에 유용합니다.
④ CT 및 골스캔
정밀한 뼈 구조 확인이나 골 괴사, 종양 등을 의심할 경우 활용됩니다.



5. 고관절 통증 치료 방법
고관절 통증 치료는 원인 질환의 종류와 진행 정도에 따라 보존적 치료와 수술적 치료로 나눌 수 있습니다.
① 약물 치료
소염진통제, 근육이완제 등을 통해 염증과 통증을 완화합니다.
② 물리치료 및 운동요법
온열요법, 전기자극치료 등으로 통증을 줄이고, 스트레칭과 근력운동을 통해 관절 기능을 회복시킵니다.
뼈 건강에 좋은 음식과 좋은 운동 간단 정리
안녕하세요 J입니다. 나이가 들어가면서 더욱 불안해지는 뼈 건강 오늘은 건강한 뼈를 위한 필수 정보, 뼈 건강에 좋은 음식과 뼈 건강에 좋은 운동을 정리해 보겠습니다. 목 차1. 뼈 건강의 중
story.sapdox.com
③ 주사치료
관절 내 스테로이드 주사나 점액낭 주사로 통증 완화를 유도할 수 있습니다.
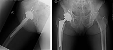
④ 수술적 치료
보존적 치료로 호전되지 않거나 뼈가 괴사되거나 손상이 심할 경우 인공관절 치환술 또는 고관절 절골술 등이 시행됩니다.
6. 고관절 수술 후 회복 기간 및 수술 비용
① 회복 기간
고관절 인공관절 치환술의 경우 수술 후 입원 기간은 일반적으로 1~2주이며, 보행기나 목발을 이용한 재활이 약 4~6주간 필요하게 됩니다. 일상적인 회복에는 3~6개월이 소요될 수 있으며, 6개월 정도가 지나면 가벼운 운동도 가능해집니다.



② 수술 비용
고관절 인공관절 수술은 보험 적용 여부와 병원급에 따라 차이가 있지만, 일반적으로 본인 부담 기준으로 150만 원~300만 원대 수준입니다. 비급여 항목이 포함되면 더 높아질 수 있습니다.
7. 고관절에 좋은 운동 및 스트레칭
고관절의 통증을 줄이고 기능을 회복하는 데 도움 되는 운동과 스트레칭은 다음과 같습니다.
① 고관절 외전 운동
옆으로 누운 자세에서 위쪽 다리를 들어올리는 동작으로, 고관절 외측 근육을 강화합니다.



② 브릿지 운동
누운 상태에서 무릎을 세우고 엉덩이를 들어올리는 동작으로, 둔근과 햄스트링을 강화해 고관절 안정성을 높입니다.
③ 고관절 굴곡 스트레칭
무릎을 가슴 쪽으로 끌어당겨 고관절 굴곡근을 이완시킵니다.
④ 고양이-소 자세(요가)
척추와 고관절의 유연성을 높이고, 주변 근육의 긴장을 풀어주는 데 효과적입니다.
⑤ 걷기 운동
통증이 심하지 않은 경우 평지 걷기는 관절 운동 범위를 유지하고 근력을 유지하는 데 도움을 줍니다.
댓글