목 차
1. 경막하 출혈이란?
경막하 출혈(subdural hemorrhage)이란, 외부 충격으로 인해 뇌를 둘러싸고 있는 경막과 뇌 사이의 혈관이 파열되면서 피가 고인 상태를 말합니다. 이 출혈은 뇌압을 상승시키고, 뇌를 압박하여 심각한 신경학적 증상을 초래할 수 있습니다. 경막하 출혈은 급성, 만성 및 외상성 출혈로 나뉘며, 각 종류별로 다르게 치료되고 경과를 보입니다.
2. 경막하 출혈 종류



경막하 출혈은 크게 세 가지 분류로 나뉩니다.
- 급성 경막하 출혈 : 외부의 심각한 충격에 의해 발생하며, 뇌와 경막 사이에 급성으로 피가 고이고, 즉각적인 의학적 처치를 필요로 합니다.
- 만성 경막하 출혈 : 출혈이 발생한 후 3주 이상 경과하여 발생하는 경우를 말합니다. 주로 고령자의 경우 자주 발생하며, 증상이 서서히 나타나는 경우가 많습니다.
- 외상성 경막하 출혈 : 주로 영유아나 어린이에게 발생하며, 아동 학대와 관련된 경우가 많습니다.
3. 경막하 출혈 원인
뇌건강을 지키는 습관 14가지
뇌건강을 지키는 습관 14가지를 알아보도록 하겠습니다. 우리 몸의 어느 부분이든 시간이 지남에 따라 약해지며 뇌도 예외는 아닙니다. 좋은 기억력과 날카로운 사고력은 모든 사람의 소중한 자
story.sapdox.com
경막하 출혈의 주된 원인은 외부의 직접적인 충격입니다. 이러한 충격은 다양한 상황에서 발생할 수 있으며, 유형별로 원인은 다음과 같습니다.
- 교통사고 : 가장 흔한 원인으로, 자동차, 오토바이, 자전거 사고 등으로 발생할 수 있습니다.
- 낙상 : 노인의 경우 낙상이 흔한 원인입니다.
- 폭력적 사고 : 구타나 폭행에 의해 발생할 수 있습니다..
- 약물 사용 : 항응고제를 복용 중인 환자에게 가벼운 충격에도 출혈을 유발할 수 있습니다.
4. 경막하 출혈 증상
경막하 출혈에 동반될 수 있는 증상은 다양합니다. 출혈의 양과 위치, 환자의 나이에 따라 다를 수 있으며, 흔히 나타나는 증상은 다음과 같습니다.
- 두통 : 출혈 초기에는 심한 두통이 나타날 수 있습니다.
- 의식 혼란 : 중증 출혈 환자는 혼수상태에 이를 수 있습니다.
- 신경학적 결손 : 반신 마비, 동공 반응 이상, 발작 등이 포함됩니다.
- 구역 및 구토 : 위장관 증상도 동반될 수 있습니다.
5. 경막하 출혈 후유증






경막하 출혈은 치료 후에도 후유증이 남을 수 있으며, 심각한 경우 사망에 이를 수 있습니다. 대표적인 후유증은 다음과 같습니다.
- 신경학적 손상 : 지속적인 신경장애가 발생할 수 있습니다.
- 뇌압 상승으로 인한 증상 : 뇌물변, 경련 등이 발생할 수 있습니다.
- 심리적 문제 : 우울증과 같은 정신건강 문제가 발생할 수 있습니다.
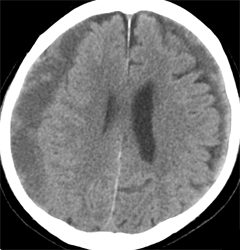
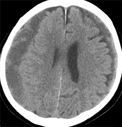
6. 경막하 출혈 진단과정 및 검사방법
경막하 출혈의 진단은 환자의 신체검사와 함께 여러 가지 검사방법을 통해 이루어집니다.
- 신체검사 : 환자의 의식 상태와 신경학적 반응을 확인합니다.
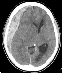
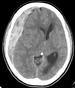
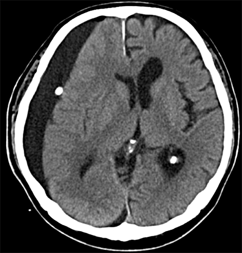
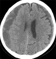
- CT 또는 MRI 스캔 : 출혈량과 위치를 확인하기 위해 실시됩니다.
- 혈압 및 맥박 측정 : 신체의 일반적인 상태를 평가합니다.
7. 경막하 출혈 치료방법
(1) 급성 경막하 출혈 치료방법
급성 경막하 출혈일 경우, 뇌의 압박을 줄이고 출혈을 제거하기 위해 수술적 치료가 필요합니다. 수술 방법은 일반적으로 다음과 같습니다:
- 두개개두술 : 두개골을 열어 출혈의 혈괴를 제거합니다. 이 과정에서 심한 뇌부종이 동반되는 경우, 인조 경막을 이용하여 뇌압을 낮추기도 합니다.
- 감압술 : 출혈량이 많고 뇌압이 상승하는 경우, 두개골을 닫지 않고 피부만 봉합하여 압력을 줄이는 방법입니다.


(2) 만성 경막하 출혈 치료방법
만성 경막하 출혈은 일반적으로 외상 후 3주 이상 경과한 출혈을 말하며, 치료는 다음과 같은 방법으로 이루어집니다:
- 천공 배액술 : 두개골에 작은 구멍을 뚫고 출혈이 고여있는 공간에 도관을 삽입하여 혈액을 배출합니다. 이는 대부분의 경우 재발 없이 회복이 잘 됩니다.
- 관찰 치료 : 환자의 상태가 양호하고 출혈량이 적은 경우, 정기적으로 CT 검사를 통해 출혈량을 모니터링하며 경과를 지켜보는 방법도 사용됩니다.
치료 후에도 주기적인 검사와 관찰이 필요하며, 특히 노인의 경우 병원에 방문하여 정밀 검사를 받는 것이 중요합니다. 경막하 출혈이 잘 치료되더라도 만약 출혈 양이 증가하거나 상태가 악화되면 즉각적인 의료적 조치가 필요합니다.
8. 경막하 출혈 후 조심할 것
(1) 증상 모니터링
출혈 후 초기 증상이 나타나지 않을 수 있지만, 시간이 지나면서 두통, 혼돈, 언어 장애, 또는 신체의 한쪽 마비와 같은 증상이 발생할 수 있습니다. 이러한 증상이 나타나면 즉시 병원에 방문하여 진료를 받는 것이 중요합니다.
(2) 의사 상담
정기적으로 전문의와 상담하고, 필요한 경우 CT 촬영 등 진단 검사를 통해 출혈이 재발하거나 악화되지 않도록 확인해야 합니다.
(3) 안전한 환경 조성



주변 환경에서 낙상을 예방하기 위해, 바닥을 정리하고 조명을 밝게 해 두며, 미끄럼 방지 조치를 취하는 것이 중요합니다.
(4) 운동 및 활동 제한
의사의 지시에 따라 활동을 조절하고, 특히, 머리를 심하게 흔드는 고강도 운동은 피해야 합니다.
(5) 약물 관리
항응고제를 복용하는 경우, 출혈 위험이 높아지므로 반드시 의사와 상의하고 지침을 따라야 합니다.
경막하 출혈은 적시 치료가 이루어지지 않으면 심각한 합병증을 초래할 수 있으므로, 적절한 예방 조치와 모니터링을 통해 건강을 유지하는 것이 중요합니다.
뇌경색 초기증상과 치료방법 간단 정리
목차뇌경색이란?뇌경색의 초기 증상뇌경색의 주요 원인진단 과정 및 필요한 검사뇌경색이 일상생활에 미치는 영향즉각적인 응급처치뇌경색의 치료방법뇌질환 예방을 위한 생활습관 개선안녕
story.sapdox.com
댓글