안녕하세요 J입니다. 제가 최근에 편도의 문제로 고생을 했는데요 오늘은 편도결석 원인과 편도결석 제거법 등에 대해 이야기 해보겠습니다.
목 차
1. 편도결석이란?
편도결석은 편도조직 내부에 생성된 작고 노란 덩어리로, 몇 밀리미터에서 몇 센티미터까지 다양한 크기로 나타나며, 주로 편도의 깊은 틈새에 자리 잡습니다. 이 결석은 불쾌한 증상을 동반하기도 하지만, 심각한 건강 위협으로 이어지는 경우는 드뭅니다. 그러나 편도결석은 구취를 유발하거나 삼키는 데 어려움을 줄 수 있어, 적절한 관리와 예방이 중요합니다.
2. 편도결석 원인



편도결석의 발생에는 다음과 같은 원인들이 있으며, 원인을 파악하고 미리 예방하는 것이 편도결석 관리의 핵심입니다.
- 구강 내 세균 증식: 구강 위생 불량으로 세균이 축적될 경우, 편도에서 결석이 형성될 가능성이 높아집니다.
- 음식물 찌꺼기 : 음식물이 편도 틈새에 남아 있으면 세균과 결합하여 결석으로 발전할 수 있습니다.
- 면역력 약화 및 감염 :면역 체계가 약해지거나 편도염을 자주 앓는 경우, 결석 발생 위험이 증가합니다.
- 구강 호흡 습관 : 입으로 숨을 쉬는 습관은 편도가 건조해지고 결석 형성을 촉진할 수 있습니다.
- 편도 비대 : 편도가 큰 경우, 틈새가 더 넓어져 음식 찌꺼기와 세균이 쌓이기 쉽습니다.
3. 편도결석 증상
편도결석은 다양한 증상이 나타나며, 증상이 심각하거나 지속된다면 전문가의 진단이 필요합니다.
면역력을 높이는 방법 면역력에 좋은 음식 간단 정리
안녕하세요 J입니다. 요즘은 계절과 상관없이 면역력에 대한 관심이 높아지고 있는데요 오늘은 면역력을 높이는 방법과 면역력에 좋은 음식 등을 간단히 정리해 보려고 합니다. 면역력의 중요
story.sapdox.com
- 목의 이물감 : 목 안에 무언가 걸린 듯한 느낌이 납니다.
- 삼키기 어려움 : 결석이 클수록 음식물 삼키기가 불편해질 수 있습니다.
- 구취 : 세균 활동으로 인한 강한 냄새가 납니다.
- 편도 부위 통증 : 염증이 동반되면 통증이 나타날 수 있습니다.
- 편도주위 염증 : 심한 경우 열이나 불쾌감이 동반됩니다.
4. 초기 진단과 검사 방법
편도결석은 의사의 시각적 검사나 추가적인 장비를 통해 쉽게 진단할 수 있으며, 이를 통해 적절한 치료 계획을 세울 수 있습니다.
(1) 임상 평가 : 환자의 증상을 확인하고 목을 시각적으로 검사해 결석 여부를 판단합니다.
(2) 내시경 검사 : 결석이 깊은 곳에 있는 경우, 내시경으로 정확한 상태를 확인할 수 있습니다.
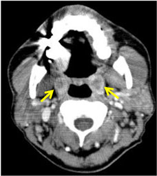
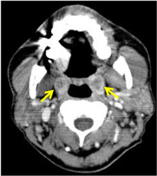
(3) 이미징 검사 : 결석이 크거나 복잡한 경우, CT나 X-ray 촬영을 통해 크기와 위치를 분석합니다.
5. 편도결석의 예방 방법
편도결석은 다음과 같은 예방 방법으로 충분히 관리할 수 있으며, 이러한 작은 실천이 장기적으로 큰 차이를 만들어 냅니다.
- 철저한 구강 위생 관리 : 하루 두 번 양치와 치실 사용으로 세균 축적을 방지하세요.
- 충분한 수분 섭취 : 입안을 촉촉하게 유지하면 세균 번식을 줄일 수 있습니다.
- 금연 및 절주 : 흡연과 음주는 구강 내 환경을 악화시키므로 피하는 것이 좋습니다.
- 정기적인 구강 검진 : 치과 검진을 통해 편도 상태를 꾸준히 점검하세요.



6. 편도결석 제거법
편도결석 제거 후에는 구강 위생을 철저히 유지해 재발을 방지해야 합니다.
(1) 가글링 : 소금물 또는 항균 성분이 포함된 가글을 사용하면 결석을 느슨하게 만들어 배출시킬 수 있습니다.
(2) 물리적 제거 : 편도결석이 보이는 경우, 면봉이나 의료용 도구를 사용해 제거할 수 있습니다. 그러나 이 과정은 조심스럽게 진행해야 하며, 감염 위험이 있으므로 주의가 필요합니다.
(3) 내시경을 이용한 제거나 수술 : 큰 결석이나 반복적으로 발생하는 경우, 내시경을 이용해 제거를 하거나 편도 자체를 없애는 편도절제술을 고려해야 합니다.
7. 치유를 위한 생활습관 개선
편도결석 관리에는 생활습관 개선이 큰 역할을 하며, 이는 단순히 편도결석 예방을 넘어 전반적인 건강에도 긍정적인 영향을 미칩니다.
- 균형 잡힌 식단 유지 : 면역력을 높이기 위해 비타민과 미네랄이 풍부한 음식(견과류, 굴, 브로콜리, 양배추, 달걀, 콩, 아보카도, 베리류 등)을 섭취합니다.
- 규칙적인 운동 : 신체 활동은 면역 체계를 강화하고 전반적인 건강을 증진시킵니다.
- 스트레스 관리 : 스트레스는 면역력을 저하시킬 수 있으므로 적절히 관리합니다.
- 충분한 수면 : 수면은 신체 회복과 면역력 유지에 필수입니다.



8. 전문가의 의학적 치료
편도결석이 심해지거나, 자주 발생하는 경우, 전문의의 도움을 받아 보다 안전하고 효과적으로 문제를 해결해야 합니다.
(1) 약물 치료 : 항생제나 항염증제를 사용해 증상을 완화할 수 있습니다.
(2) 수술적 치료 : 반복적인 결석으로 고통받는 경우, 편도절제술(tonsillectomy)을 고려할 수 있습니다. 이 수술은 결석의 재발 가능성을 완전히 제거합니다.
(3) 정기적인 진료 : 치료 후에도 주기적으로 의사의 상담을 받으며 상태를 점검, 관리하여야 합니다.
댓글