안녕하세요 J입니다. 오늘은 바람만 스쳐도 아프다는 통풍에 대해 이야기해보려고 합니다. 통풍 증상 과 함께 어떤 음식들이 도움이 되고 어떤 음식들을 피해야 하는지 간단히 정리해 보겠습니다..
통풍이란?
통풍은 몸속에 요산이 여러 이유로 배출되지 못하여 과다하게 쌓여 발생하는 염증성 관절 질환으로, 일반적으로 관절에 강한 통증과 부기를 유발합니다. 요산은 프린 과다 섭취, 신장 기능 저하 등으로 축적되며, 이는 주로 엄지발가락의 관절에서 가장 흔하게 나타납니다. 통풍 발작은 갑작스럽고 극심한 통증을 동반하여, 일상생활에 큰 지장을 줄 수 있습니다. 또한, 통풍은 재발할 위험이 높고, 만성질환으로 발전할 수 있으므로 조기 진단과 치료가 중요합니다.


통풍 증상 과 주요 원인
통풍은 요산 수치의 상승으로 인해 발생하며, 여러 가지 원인이 존재합니다. 육류, 해산물, 알코올, 설탕이 많이 포함된 음식 및 음료를 과도하게 섭취하는 것, 비만, 유전적 소인, 신장 질환 등이 주요 원인입니다. 통풍 증상으로는 발작적인 심한 통증, 종아리의 부기 및 발열이 동반된 관절의 통증이 있으며, 대개는 밤이나 이른 아침에 발생합니다. 이러한 증상은 수일간 지속될 수 있으며, 치료하지 않으면 재발 빈도가 증가할 수 있습니다.
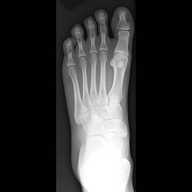
통풍 진단을 위한 검사 방법
통풍 진단은 다양한 검사 방법이 사용됩니다. 임상적으로 가장 중요한 것은 혈액 검사를 통해 혈중 요산 수치를 확인하는 것입니다. 요산 수치가 6.8mg/dL 이상인 경우 통풍으로 의심하게 됩니다. 또한, 관절에서 체액을 채취하여 요산 결정체의 존재 여부를 확인하는 관절천자도 시행될 수 있습니다. X-ray와 MRI와 같은 영상 검사는 관절 손상의 정도를 평가하는 데 도움을 줄 수 있습니다. 정확한 진단을 위해 의료 전문의와 상담하는 것이 중요합니다.



통풍이 일상 생활에 미치는 영향
통풍은 환자의 일상 생활에 많은 제약을 줄 수 있습니다. 급성 통풍 발작 시에는 극심한 통증으로 인해 걷거나 일상적인 운동이 어려워집니다. 이로 인해 사회적 활동이 줄어들고, 우울감이나 불안이 증가할 수 있습니다. 또한, 장기간 통풍을 치료하지 못하면, 관절 손상을 초래할 수 있으며, 이는 관절염으로 이어질 수 있습니다. 따라서 통풍 관리와 예방은 환자의 삶의 질을 유지하는 데 매우 중요합니다.
금주후 신체변화 간단 정리
안녕하세요 J입니다. 오늘은 제가 최근에 금주를 시도하면서 느낀 것들에 대해 이야기해보려고 합니다. 금주가 우리 몸에 어떤 변화를 가져오는지 궁금하신 분들에게 도움이 되었으면 좋겠습니
story.sapdox.com
통풍에 좋은 음식
통풍은 식단관리가 큰 영향을 끼칩니다.
통풍에 좋은 음식 으로는 체리, 블루베리, 오트밀, 생선, 녹색 잎채소, 저지방 유제품이 있습니다.
특히 체리는 염증을 줄이고 요산 수치를 낮추는 데 효과적입니다. 블루베리와 같은 항산화 성분이 풍부한 과일은 면역력을 높여주며,., . 생선은 오메가-3 지방산이 포함되어 있어 염증을 감소시키는 데 도움을 주고 통풍의 증상을 완화시키는 데 도움을 줄 수 있습니다.



통풍에 나쁜 음식
통풍에 나쁜 음식 은 주로 프린이 많이 함유된 식품입니다. 특히 붉은 고기, 내장육, 해산물, 생선, 고당 음료와 주류는 요산 수치를 높일 수 있습니다. 가공식품과 트랜스 지방이 포함된 음식도 피하는 것이 좋습니다. 이러한 음식은 체중 증가와 고요산혈증을 유발할 수 있어, 통풍 증상을 악화시킬 수 있습니다.



통풍 관리 및 예방 전략
생활 습관을 개선하는 것은 통풍 재발을 예방하는 핵심 전략입니다.
통풍 관리를 위해서는 균형 잡힌 식단, 적절한 수분 섭취, 규칙적인 운동이 중요하며, 요산 수치를 지속적으로 모니터링하여 문제가 있을 시 반드시 전문의와의 상담으로 적절한 약물 치료를 받아야 합니다.
또한, 과체중은 요산 수치를 높일 수 있으므로, 지속적인 체중 관리 를 하여야 하며, 스트레스 관리와 충분한 수면도 통풍 예방, 치료에 많은 도움을 줄 수 있습니다.
생활습관 변화의 중요성
생활습관 변화는 통풍 환자의 건강에 있어 중요한 사항입니다. 규칙적인 운동과 식이요법을 통해 체중을 정상 범위로 유지하는 것이 중요하며, 음주를 제한하고 수분을 충분히 섭취하여 요산 배출을 촉진해야 합니다. 또한, 스트레스를 효율적으로 관리하고, 정기적으로 전문의와 상담하여 건강 상태를 점검하는 것도 필수적입니다. 이러한 습관은 통풍 발작의 빈도를 줄이고, 전반적으로 건강을 향상하는 데 도움을 줄 것입니다.
댓글