안녕하세요 J입니다. 여성에게 자궁은 생로병사가 다 들어 있는 인생 주머니라고 할 수 있을거 같습니다. 오늘은 자궁근종 증상과 자궁근종 수술비용 등에 대해 정리해 보겠습니다.



1. 자궁근종이란?
자궁근종은 자궁의 근육층에서 발생하는 양성 종양으로, 여성에게 발생하는 종양 중 가장 흔한 종양입니다. 주로 30대에서 50대 여성에게 발생하며, 자궁근종을 갖고 있어도 상당수는 별다른 자각 증상없이 평생을 지낼 수 있습니다. 근종의 크기와 수에 따라 자궁근종 증상이 다르게 나타날 수 있습니다. 이 질환은 호르몬, 특히 에스트로겐의 영향을 크게 받으며, 대부분 악성으로 발전하지 않습니다.
2. 자궁근종 증상
자궁근종은 대부분 무증상이지만, 자궁근종 환자의 약 25%에서 증상이 나타납니다. 대표 증상으로 생리 불순, 과다출혈, 골반 통증 등이 있으며, 심한 경우 빈혈이나 피로감이 동반되기도 하며, 배뇨 문제나 요통, 불임 또는 유산을 이르킬 수 있습니다. 자궁근종은 많은 여성들에게 무증상으로 나타나기 때문에 정기적인 검진이 매우 중요합니다. 또한, 자궁근종이 의심될 때는 증상이 나타나지 않아도 검사를 받는 것이 필요합니다.
냉 색깔에 따른 증상과 냉 많이 나오는 이유 간단 정리
안녕하세요 J입니다. 냉이 많아지거나 냄새가 나면 여러 가지로 신경이 쓰이게 되는데요 오늘은 냉 색깔에 따른 증상과 냉이 많이 나오는 이유에 대해 알아보겠습니다. 목 차냉(질 분비물)이
story.sapdox.com
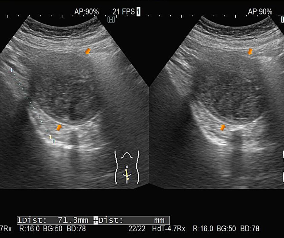
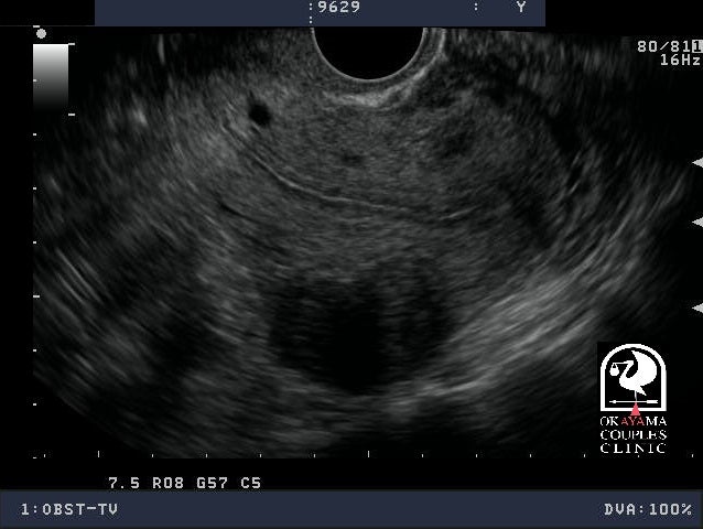
3. 자궁근종 진단 방법
자궁근종의 진단은 일반적으로 초음파 검사를 통해 이루어집니다. 초음파는 비침습적인 안전한 방법으로, 자궁 근종의 수, 크기 및 위치를 확인할 수 있습니다. 경우에 따라, MRI나 CT 스캔을 통해 더 자세한 정보를 얻을 수 있습니다. 진단 후, 자궁근종 증상과 환자의 건강 상태를 고려하여 적절한 치료 방법을 결정합니다.
4. 자궁근종의 발생 원인
자궁근종의 정확한 원인은 모르나, 호르몬 불균형, 특히 에스트로겐과 프로게스테론의 불균형 등이 영향을 주는 것으로 알려져 있습니다. 이 외에도 유전적 요인, 비만, 환경적 요인 등도 자궁근종 발생에 영향을 미칠 수 있습니다. 가족력이 있는 경우 자궁근종이 발생할 확률이 높습니다. 또한, 출산 경험이 없는 여성들이 더 높은 확률로 자궁근종을 경험한다고 보고되고 있습니다.



5. 자궁근종이 삶에 미치는 영향
자궁근종은 생리와 관련된 증상들로 인해 신체적 고통뿐만 아니라 정신적, 사회적 활동에 영향을 미칠 수 있습니다. 생리 불순이나 과다출혈로 인해 외출이나 활동을 제한해야 하는 경우가 많고, 심한 경우에는 일상적인 생활이 힘들 수 있습니다. 이로 인해 정서적인 스트레스나 사회적 고립감이 생길 수 있습니다.
6. 자궁근종 치료 방법
자궁근종의 치료에는 약물 치료와 수술적 치료가 있으며, 환자의 나이, 출산계획 유무, 폐경 여부, 근종의 크기와 위치, 증상 정도 등에 따라 결정됩니다. 약물 치료는 증상을 완화하는 데 사용되며, 수술적 방법으로는 자궁근종을 제거하는 수술과 자궁 절제술이 있습니다. 약물 치료 외에도 비수술적 방법인 자궁 동맥 색전술도 도움이 될 수 있습니다.



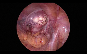
7. 자궁근종 수술의 방법과 비용
자궁근종 수술은 여러 가지 방법으로 진행될 수 있습니다. 전신 마취 또는 국소 마취를 한 후, 복부나 질을 통해 접근하여 근종을 제거합니다. 개복술인 경우 1~2주 정도의 입원과 한달 정도의 회복 기간이 필요하고, 자궁근종 색전술은 1~3일 정도의 짧은 입원과 회복 기간도 짧습니다. 자궁근종 수술의 비용은 병원이나 지역에 따라 차이가 있으며, 평균적으로 수백만 원에서 천만 원 이상이 소요될 수 있습니다. 이때, 보험 적용 여부도 중요한 사항이므로 미리 확인하는 것이 좋습니다.
8. 수술 후 관리 방법
(1) 자궁근종 수술후 2주후 부터 일상적인 활동이 가능해 집니다.
(2) 4~6주 정도는 과격한 운동이나 무거운 물건을 드는 등의 힘든 일을 삼가해야 합니다
(3) 체력이 많이 소모되는 여행이나, 수영 등은 8주후부터 가능합니다.
(4) 통목욕, 사우나 등은 6~8주 동안은 삼가하는 것이 좋습니다.
또한, 자궁근종 수술 후에는 지속적인 병원 진료를 통해 상태를 체크하고, 회복 과정을 점검하는 것이 필요하며, 통증이 있을 경우 의사의 처방에 따라 진통제를 복용하고, 건강한 식습관과 충분한 휴식을 취하는 것이 중요합니다.
댓글