목 차
- 입안이 헐었을 때
- 증상의 다양한 형태
- 원인 및 유발 요인 파악하기
- 일상생활에 미치는 영향
- 자연치유와 예방 방법
- 입안이 헐었을 때 좋은 음식
- 입안이 헐었을 때 피해야 하는 음식
- 전문의의 조언과 치료 방법
1. 입안이 헐었을 때
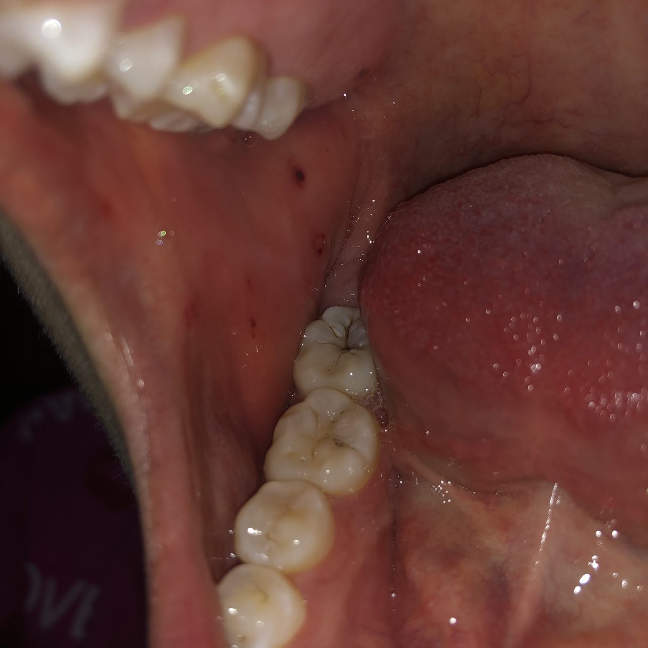
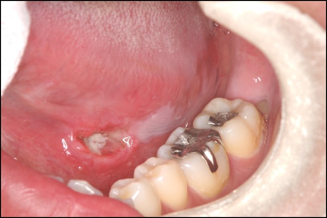
입안이 헐었을 때는 일반적으로 점막에 염증이나 궤양이 생기는 상태를 지칭합니다. 이 증상은 통증을 유발하며, 음식을 먹거나 말하는 것조차 어려움을 겪게 만듭니다. 입안이 허는 증상은 대개, 혀, 볼 안쪽, 입천장, 잇몸 등에서 발생할 수 있습니다. 이런 증상은 간혹 자가 면역 반응, 스트레스, 혹은 감염과 같은 원인으로 인해 발생할 수 있으며, 개개인의 체질이나 환경에 따라 다양하게 나타나기도 합니다. 이러한 상태는 비록 일시적일 수 있으나, 지속적으로 반복될 경우에는 더욱 심각한 문제를 초래할 수 있습니다.
2. 증상의 다양한 형태



입안이 헐었을 때 나타나는 증상은 다양합니다. 가장 흔한 증상은 해당 부위의 통증과 불편함으로, 이는 바늘로 찌르는 듯한 느낌이나 화끈거림으로 표현될 수 있습니다. 또한, 부풀어 오름, 붉은 염증이 동반될 수 있으며, 가벼운 출혈이 발생하기도 합니다. 심한 경우에는 먹거나 마시는 것이 힘들어져 탈수나 영양 부족으로 이어질 수 있습니다. 이처럼 각기 다른 형태의 증상은 개인의 건강 상태나 환경 요인에 따라 다르게 나타날 수 있으며, 이를 정확히 인지하는 것이 중요합니다.
3. 원인 및 유발 요인
입냄새 심한 이유 입냄새 줄이는 방법 간단 정리
안녕하세요 J입니다. 누군가와 대화할 때 입냄새 때문에 눈치가 보일 때가 있는데요 오늘은 입냄새 심한 이유 그리고 간단하게 입냄새 줄이는 방법 등에 대해 알아보겠습니다. 입냄새 원인?입냄
story.sapdox.com
입안이 헐게 되는 원인은 여러 가지가 있으며, 각기 다른 유발 요인이 존재합니다. 가장 흔한 이유 중 하나는 비타민 결핍, 특히 비타민 B군이나 철분의 부족입니다. 이 외에도 스트레스, 알레르기 반응, 감염(바이러스, 세균) 등이 주요 원인으로 작용할 수 있습니다. 또한, 흡연이나 음주, 특정 약물 복용, 그리고 구강 위생관리 부족도 원인이 될 수 있습니다. 이러한 요소들은 복합적으로 작용하여 입안의 건강을 해치는 결과를 가져올 수 있으므로, 원인을 명확히 파악하고 관리하는 것이 중요합니다.
4. 일상생활에 미치는 영향
입안이 헐게 되면 일상생활에 상당한 영향을 미칠 수 있습니다. 통증과 불편함 때문에 음식을 제대로 섭취하지 못하게 되며, 이에 따라 영양 부족이 발생할 수 있습니다. 또한 대화할 때 불편함을 느끼거나, 사회적 상황에서 자신감을 잃게 만드는 경우도 많습니다. 더 나아가, 이러한 증상은 지속적으로 반복될 경우 정신적인 스트레스를 유발하여 삶의 질을 저하시킬 수 있습니다.
5. 자연치유와 예방 방법
입안이 헐었을 때 자연치유 및 예방을 위한 몇 가지 방법이 있습니다.
첫째, 충분한 수분 섭취하여 입안이 마르지 않도록 합니다.
둘째, 음주와 카페인 음료를 피하는 것이 좋습니다.
셋째, 따뜻한 소금물로 가글을 하면 염증을 완화하고 통증을 경감하는 데 도움이 될 수 있습니다.
넷째, 스트레스를 줄이는 활동이나 충분한 수면은 면역 체계 강화에 기여하여 재발을 예방할 수 있습니다.
다섯째, 비타민이 풍부한 과일과 채소를 섭취하는 것이 좋습니다.
여섯째, 구강 위생을 철저히 하여 세균 감염을 예방하는 것이 중요합니다.



6. 입안이 헐었을 때 좋은 음식
입안이 헐었을 때는 도움이 되는 식품은 다음과 같습니다.
- 요거트와 같은 프로바이오틱스가 함유된 식품은 장 건강에 이롭고, 면역력 증진에 기여할 수 있습니다.
- 꿀은 항균 및 항염 효과가 있어 도움이 됩니다.
- 신선한 과일 및 채소는 비타민 C와 같은 항산화 물질을 제공하여 면역 체계를 강화하는 데 기여합니다. 특히 수박이나 오이와 같은 수분이 풍부한 식품은 통증을 완화하고 입안을 진정시키는 데 유용합니다.
7. 입안이 헐었을 때 피해야 하는 음식
입안이 헐었을 때는 특정 음식이나 재료가 증상을 악화시킬 수 있습니다.
- 매운 음식이나 신 음식은 통증을 유발하고 증상을 더욱 심화시킬 수 있습니다.
- 알코올이나 카페인 함유 음료는 구강을 건조하게 만들어 상황을 악화시킬 수 있습니다.
- 너무 단 음식 역시 잇몸에 자극을 주어 불편함을 가중시킬 수 있습니다.



이런 음식을 피하고, 부드럽고 영양가가 높은 식품을 선택하는 것이 좋으며, 이러한 주의는 상처의 회복 속도를 높이는 데 큰 도움이 됩니다.
8. 전문가의 조언과 치료 방법
입안이 헐었을 때는 전문가의 조언을 받는 것이 중요합니다. 의사는 원인을 정확히 진단하고 적절한 치료 방법을 제시할 수 있습니다. 또한, 필요에 따라 약물 치료를 권할 수 있으며, 비타민 보충제나 국소 치료제 등을 추천할 수 있습니다. 증상이 심각하거나 장기화될 경우에는 구강내과 전문의를 방문하여 보다 전문적인 평가를 받는 것이 좋습니다. 전문가의 조언에 따라 적절한 치료를 받는 것이 입안 건강 회복에 많은 도움이 됩니다.
댓글