목 차
1. 목젖이란?
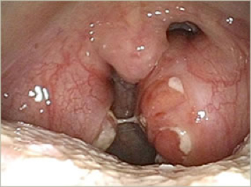
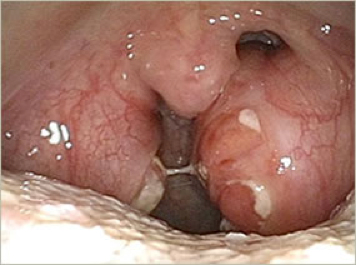
목젖은 인두의 뒤쪽, 목의 상부에 위치한 작은 돌출부로, 구개 뒤쪽에 있습니다. 이는 식도와 기도의 경계 역할을 하며, 음성 제작과 삼키는 과정에서 중요한 기능을 합니다. 또한, 목젖은 일부 사람들에게는 발음에 영향을 줄 수 있으며, 그 형태나 크기에 따라 목소리의 특성이 달라질 수 있습니다. 건강 상태와 관련하여, 비만이나 알레르기 등으로 인해 목젖이 부풀어 오르면 수면 무호흡증에 기여할 수 있으므로 주의해야 합니다.
2. 목젖이 부었을 때



목젖이 부었을 때 주요 증상은 이물감, 통증, 목소리 변화, 삼키기 어려움 등이 있습니다. 이물감은 특히, 음식물을 삼킬 때 더욱 두드러지며, 목소리는 쉰 목소리로 변할 수 있습니다. 부종이 심한 경우에는 호흡 곤란을 느낄 수도 있습니다.
(1) 원인
목젖의 부었을 때는 여러 가지 원인에 의해 발생할 수 있습니다. 주된 원인으로는 인후염, 편도선염, 알레르기 반응 등이 있습니다. 특히, 바이러스 감염이나 세균 감염으로 인한 염증이 흔한 원인입니다. 또한, 과도한 음주나 흡연, 자극적인 음식 섭취도 부종을 유발할 수 있습니다.
(2) 관리 방법
목소리가 쉬는, 잠기는, 갈라지는 이유 간단 정리
목 차목소리가 쉬는 이유목소리가 잠기는 이유목소리가 갈라지는 이유예방 및 치료 방법결론1. 목소리가 쉬는 이유목소리가 쉬는 이유는 일반적으로 성대의 염증이나 손상으로 인해 발생합
story.sapdox.com
- 소금물 가글 : 소금물을 이용해 가글 하면 염증을 완화하는 데 도움이 됩니다.
- 따뜻한 차 섭취 : 생강차나 유자차와 같은 따뜻한 음료를 마시면 통증이 완화될 수 있습니다.
- 충분한 수분 섭취 : 수분을 충분히 섭취하여 목을 촉촉하게 유지합니다.
- 자극적인 음식 피하기 : 매운 음식이나 시큼한 음식은 피하는 것이 좋습니다.
- 의료 상담 : 증상이 지속되거나 심해진다면 이비인후과 전문의와의 상담을 통해 원인을 진단받는 것이 중요합니다.
3. 목젖이 늘어진 느낌
목젖이 늘어진 느낌이 들 때 주요 증상은 목젖이 늘어져 혀에 닿는 느낌, 이물감 또는 목이 막히는 듯한 증상이 나타날 수 있습니다. 또한, 침 삼킬 때 통증이나 불편함이 동반될 수 있습니다. 이러한 증상은 구토 후나 노래를 많이 부른 후에 더 뚜렷해질 수 있습니다.
(1) 원인
목젖이 늘어진 느낌이 드는 원인은 과도한 음성 사용, 비염, 알레르기 반응, 바이러스 감염 등이 있습니다. 특히, 비염으로 인한 후비루가 목젖에 영향을 미쳐 늘어지게 만들 수 있습니다. 열이나 감염으로 인한 염증도 주요 원인입니다.
(2) 관리방법



- 수분 섭취 : 따뜻한 물이나 차를 자주 마시는 것이 도움이 됩니다. 수분은 목을 촉촉하게 유지하여 증상을 완화합니다.
- 식사 주의 : 자극적인 음식이나 음료를 피하고, 부드러운 음식을 섭취하는 것이 좋습니다. 또한, 너무 뜨겁거나 차가운 음식은 피하는 것이 바람직합니다.
- 의료 상담 : 증상이 지속되거나 심해진다면 이비인후과 전문의와의 상담을 통해 원인을 진단받는 것이 중요합니다.
4. 목젖 이물감
목젖 이물감이 들 때 주요 증상은, 이물감 외에도 음식을 삼킬 때의 어려움, 기침 또는 인후통과 같은 추가적인 증상이 나타날 수 있습니다. 이러한 증상은 주로 목젖이 부풀거나 염증이 생길 때 발생합니다.
(1) 원인
목젖 이물감을 유발하는 원인은 다양합니다. 가장 흔한 원인은 감기와 관련된 바이러스 감염, 알레르기 반응, 또는 역류성 식도염입니다. 알코올 섭취 및 과도한 목 사용도 부종을 유발하여 이물감을 느끼게 할 수 있습니다. 이 외에도 스트레스나 불안이 원인이 될 수 있습니다.
(2) 관리방법
- 수분 섭취 : 따뜻한 물이나 차를 자주 마셔 목의 건조함을 예방합니다.
- 가글 : 소금물로 가글 하여 염증을 완화할 수 있습니다.
- 약물 사용 : 항히스타민제나 진통제를 통해 증상을 경감할 수 있습니다.
- 의료 상담 : 증상이 지속되거나 심해진다면 이비인후과 전문의와의 상담을 통해 원인을 진단받는 것이 중요합니다.
5. 목 후두 건강을 위한 생활 습관
- 정기적인 수분 섭취 : 하루에 2L 이상의 물을 섭취하여 성대의 수분을 유지합니다.
- 금연 및 음주 절제 : 흡연과 과도한 음주는 성대에 자극을 주므로 피하는 것이 좋습니다.
- 적절한 목소리 사용 : 목소리를 높이거나 과도하게 사용하지 않도록 주의하며, 필요할 경우에는 소리를 내지 않고 목을 쉬게 합니다.
- 온·습도 관리 : 실내 습도를 적절히 유지하고, 건조한 환경을 피합니다.
댓글