목 차
1. 늑막염이란?
늑막염은 폐를 둘러싼 두 개의 늑막 사이에 염증이 생기는 질환으로, 이로 인해 심한 통증과 호흡곤란을 초래할 수 있습니다. 늑막은 폐와 가슴벽 간의 세포층으로, 숨을 쉴 때 두 층 사이의 물과 공기가 원활하게 이동하도록 돕습니다. 염증이 생기면 이들 사이에 액체가 축적되거나 폐가 압축될 수 있어, 호흡이 힘들어질 수 있습니다.
2. 늑막염 원인



늑막염의 발생 원인은 다양하며, 주요 원인으로는 다음과 같습니다.
- 감염성 원인 : 폐렴, 결핵 등이 흔한 원인입니다.
- 비감염성 원인 : 암, 자가면역 질환 등도 영향을 미칠 수 있습니다.
- 물리적 손상 : 흉부 외상이나 수술로 인한 염증이 발생할 수 있습니다.
- 약물 반응 : 특정 약물에 대한 부작용으로도 나타날 수 있습니다.
각각의 원인에 따라 치료 방법과 예후가 달라질 수 있습니다.
3. 늑막염의 종류
만성염증에 좋은 음식과 자가진단법 간단 정리
안녕하세요 J입니다. 특별한 질환이 있는 것도 아닌데 이유없이 몸이 여기 저기 아프고 피로회복도 힘들다면은 만성염증을 의심해 볼수 있는데요. 오늘은 만성염증 자가진단법과 만성염증에 좋
story.sapdox.com
늑막염은 여러 가지 유형으로 나눌 수 있으며, 그 각각은 원인이나 증상에 따라 구분됩니다.
(1) 건성 늑막염
건성 늑막염은 늑막강(흉강) 내에 흉수(흉막삼출액)가 거의 없거나 매우 적은 상태에서 발생하는 염증을 말합니다. 이 상태는 일반적으로 느껴지는 통증이 심각하며, 흉막이 서로 마찰하면서 통증을 유발합니다.
(2) 습성 늑막염
습성 늑막염은 늑막강에 흉수가 축적되는 상태로, 흉수가 단순한 체액일 수도 있고, 감염이나 염증에 의해 생성되는 진한 체액일 수도 있습니다. 습성 늑막염은 여러 가지 원인에 의해 발생할 수 있으며, 추가적인 진단과 치료가 필요합니다.
(3) 원인에 의한 분류
늑막염은 원인에 따라서도 분류가 가능합니다. 다음은 주요 원인입니다.
- 감염성 원인 : 폐렴, 결핵, 바이러스 감염 등
- 비감염성 원인 : 흉부 외상, 암, 염증 질환(루푸스 )
이와 같은 분류는 진단 및 치료에 있어 중요한 역할을 합니다. 각 유형의 늑막염은 증상과 치료 방법이 다를 수 있으며, 적절한 진단이 필요합니다.
4. 늑막염의 증상
늑막염의 증상은 다음과 같이 나타납니다.
- 가슴 통증 : 호흡이나 기침 시 통증이 심해질 수 있습니다.
- 호흡 곤란 : 폐가 압박받아 숨쉬기 어려워질 수 있습니다.
- 기침 : 건조한 기침이 자주 나타납니다.
- 열과 오한 : 감염이 동반될 경우 염증으로 인해 열이 날 수 있습니다.
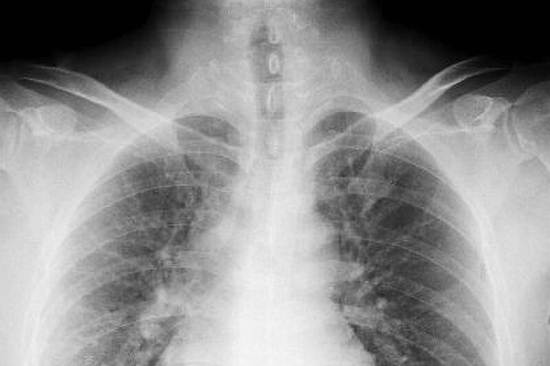
5. 늑막염 진단 과정과 검사 방법
늑막염 진단은 다음과 같은 과정을 통해 이루어집니다.
- 병력 조사 : 환자의 증상, 과거 병력 및 가족력을 상세히 파악합니다.
- 신체검사: 가슴 부위를 청진하여 이상징후를 확인합니다.
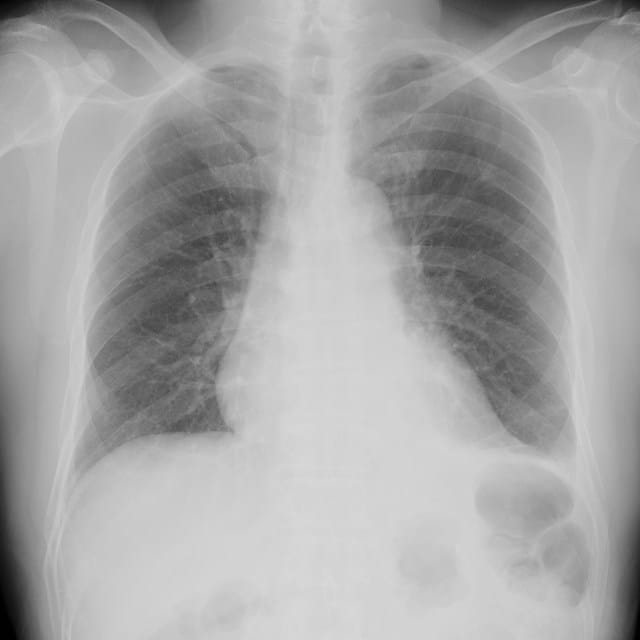
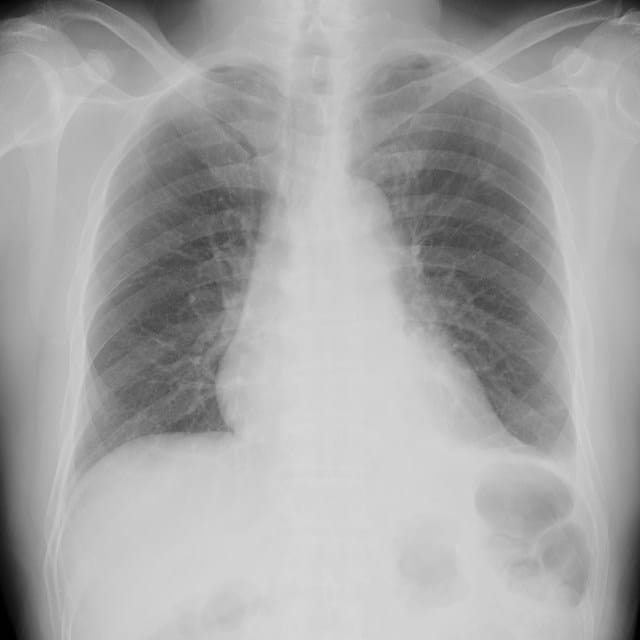
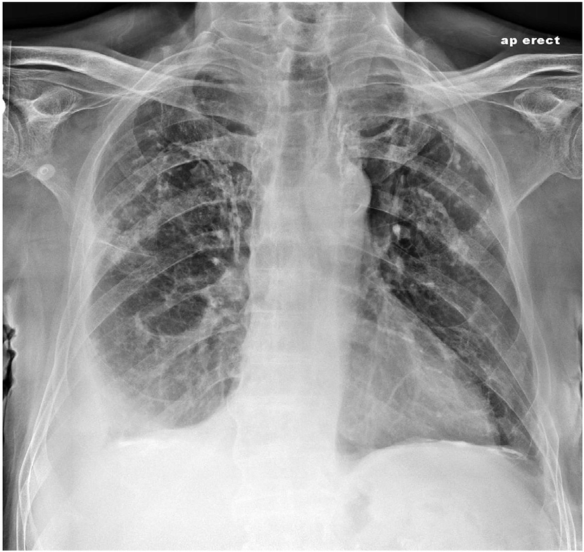
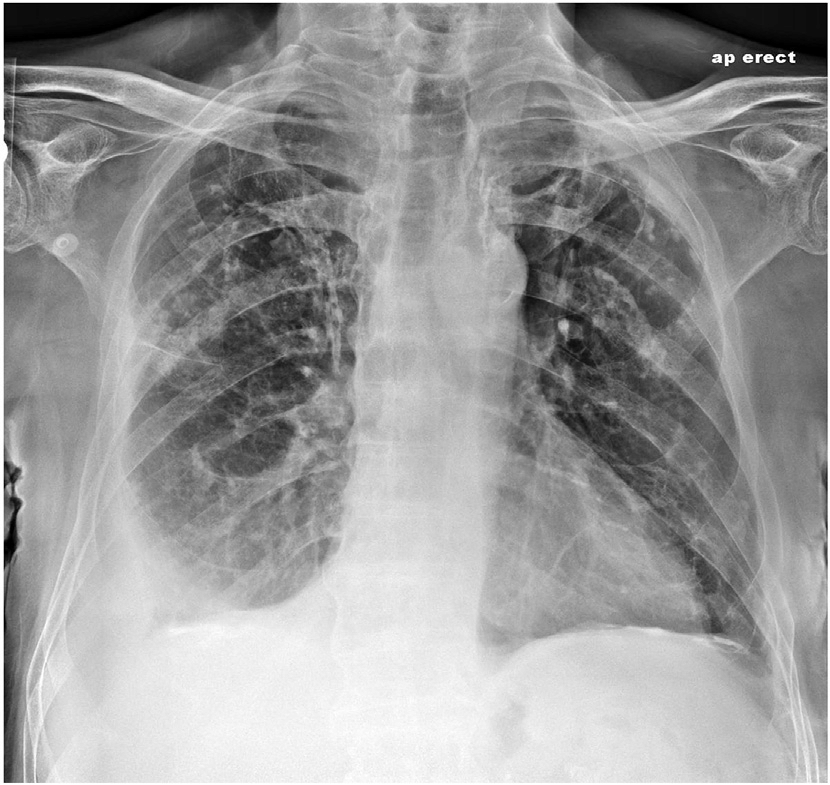
- 영상 검사 : 흉부 X선, CT 스캔 등을 통해 염증의 정도나 기타 이상을 평가합니다.
- 체액 검사 : 늑막액이 고여 있을 경우, 체액을 채취하여 분석합니다.






6. 늑막염 치료방법
치료 방법은 원인에 따라 달라질 수 있습니다.
- 약물 치료 : 항생제, 항염증제 등을 사용하여 감염이나 염증을 치료합니다.
- 좌측 흉강천자: 고인 액체를 제거하여 호흡을 돕습니다.
- 수술적 치료 : 늑막 유착이나 흉막 유착으로 인해 호흡 곤란 등의 증상이 발생한 경우 수술적 치료를 고려합니다.
- 물리치료: 호흡 기능 회복을 위한 재활치료가 필요할 수 있습니다.
7. 늑막염 후유증
늑막염 치료 후에도 몇 가지 후유증을 경험할 수 있습니다.
- 호흡 기능 저하 : 일부 환자는 폐 기능이 저하될 수 있습니다.
- 만성통증 : 치료 후에도 가슴 통증이 지속될 수 있습니다.
- 재발 가능성 : 원인에 따라 재발할 가능성이 있습니다.
8. 늑막염에 좋은 음식






늑막염의 증상 완화 및 회복을 돕기 위해 섭취할 수 있는 여러 가지 식품이 있습니다. 이러한 식품들은 면역력을 강화하고 염증을 줄이는 데 도움을 줄 수 있습니다.
- 도라지 : 도라지는 기관지 질환에 탁월한 효과가 있으며, 늑막염에도 도움이 되는 대표적인 식품으로 알려져 있습니다.
- 보리새싹 : 보리새싹은 면역력 강화와 항산화 효과가 뛰어난 식품입니다. 특히 면역력 증진에 기여하여 염증 완화에 도움이 됩니다.
- 토마토 : 토마토에 함유된 라이코펜 성분은 폐질환 예방에 효과적이며, 기관지 건강에도 유익한 영향을 미칩니다.
- 마늘 : 마늘은 염증을 줄이고 면역 체계를 강화하는 데 도움을 줍니다.
- 강황 : 강황은 항염증 효과가 뛰어나며, 건강한 식단에 필수적인 식품으로 추천됩니다.
- 브로콜리 : 브로콜리는 비타민과 미네랄이 풍부하여 면역력 강화 및 염증 완화에 도움이 됩니다.
댓글