목 차
- 급성 심근경색이란?
- 주요 원인과 유발 요인
- 초기 증상과 경고 신호
- 응급처치와 병원 치료 과정
- 후유증과 장기적 영향
- 회복 과정과 생활 관리법
- 예방 방법과 건강 유지 전략
- 심장 건강을 위한 생활 습관 개선
1. 급성 심근경색이란?
급성 심근경색은 심장근육에 혈액을 공급하는 관상동맥이 갑자기 막혀서 발생하는 질환으로, 심장 조직의 손상을 초래합니다. 통상적으로 이는 혈전이 형성되어 심장으로 가는 혈류가 차단될 때 발생하며, 즉각적인 치료가 필요합니다. 심근경색은 일반적으로 심한 흉통, 호흡곤란, 구토 등의 증상을 동반하며, 신속한 응급처치가 이루어지지 않을 경우 심각한 후유증이나 사망에 이를 수 있습니다.
2. 주요 원인과 유발 요인



급성 심근경색의 주요 원인은 관상동맥의 질환으로, 대표적으로 동맥경화증이 있습니다. 이는 나쁜 콜레스테롤, 흡연, 비만, 고혈압, 당뇨병 등의 요인으로 인해 발생합니다. 또한, 스트레스와 유전적 요소도 심근경색의 위험을 증가시키는 것으로 알려져 있습니다. 이러한 요인이 복합적으로 작용하여 혈관의 염증과 협착을 유발하고, 결국 혈전이 형성되어 혈류를 차단하게 됩니다.
3. 초기 증상과 경고 신호
염증수치 낮추는 방법과 염증에 좋은 음식 간단 정리
목 차염증이란?염증을 진단하는 방법염증 수치를 낮춰야 하는 이유염증 수치 낮추는 방법염증에 좋은 음식 염증에 좋은 차전문가의 관리1. 염증이란?염증은 신체의 면역 시스템이 감염, 손상,
story.sapdox.com
급성 심근경색의 초기 증상은 가슴 통증이나 압박감으로 나타나며, 이는 상반신과 팔, 목, 턱, 등으로 방사될 수 있습니다. 또한, 숨이 가빠지거나 땀이 나고 메스꺼움을 느끼는 등의 증상이 동반될 수 있습니다. 이러한 증상은 특히 운동 중이나 스트레스 상황에서 악화되기 쉽습니다. 경고 신호가 나타날 경우 즉시 의료 기관을 찾아야 하며, 조기 발견이 치료의 효과를 높이는 중요한 요소입니다.
4. 응급처치와 병원 치료 과정
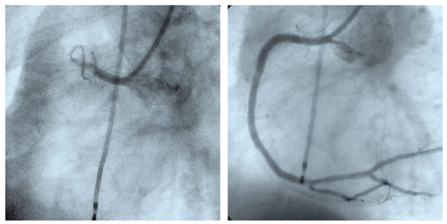
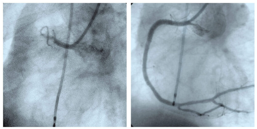
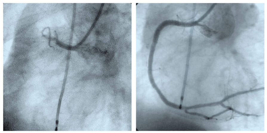
심근경색이 의심되는 경우, 즉각적인 응급처치가 필수입니다. 급성심근경색증상이 나타나면 119에 전화하여 도움을 요청하고, 환자를 편안한 자세로 눕히며, 산소를 공급해야 합니다. 병원에 도착하면, 의사는 ECG(심전도)와 혈액 검사를 통해 진단을 진행하며, 심장 카테터 삽입술이나 스텐트 삽입 등 다양한 의료적 처치를 진행합니다. 이러한 치료는 신속하게 이루어져야 심장 근육의 손상을 최소화할 수 있습니다.
5. 후유증과 장기적 영향



급성 심근경색을 겪은 후에는 여러 가지 후유증이 발생할 수 있습니다. 이 중에서도 심장 기능 저하, 심부전, 부정맥 등의 심장 관련 문제는 빈번하게 발생합니다. 장기적으로 이는 환자의 삶의 질을 저하시킬 수 있으며, 만성 질환으로 이어질 위험도 높습니다. 따라서, 적절한 관리와 재활 치료가 중요하며, 정기적인 검사와 생활 습관 개선이 필요합니다.
6. 회복 과정과 생활 관리법
급성 심근경색 후 회복 과정은 개인의 건강 상태에 따라 다르지만, 일반적으로 6주에서 12주 걸릴 수 있습니다. 이 과정에서는 의료진의 지시를 따르고, 꾸준한 약물복용과 필요한 재활 운동이 필수입니다. 또한, 하루의 활동을 조절하며 스트레스를 관리하는 것이 중요합니다. 환자는 회복 중에도 건강한 식습관과 적절한 체중을 유지하는 노력이 필요하며, 심리적 지원도 중요시해야 합니다.
7. 예방 방법과 건강 유지 전략
급성 심근경색을 예방하기 위해서는 건강한 생활 습관을 유지하는 것이 중요합니다. 규칙적인 운동과 건강한 식습관은 심혈관 건강을 지키는 기본입니다. 또한, 정기적인 건강 검진을 통해 혈압, 혈당, 콜레스테롤 수치를 관리하고, 흡연과 과도한 음주를 피하는 것이 필수입니다. 스트레스 관리를 위한 방법들을 배워 실천하는 것도 예방의 중요한 요소입니다.
8. 심장 건강을 위한 생활 습관 개선



심장 건강을 유지하기 위해서는 일상생활 속에서 꾸준한 습관 개선이 필요합니다.
첫째, 식단에서는 과일, 채소, 통곡물 위주의 균형 있는 식사를 하고, 포화 지방과 트랜스 지방의 섭취를 줄이는 것이 좋습니다.
둘째, 매일 30분 이상의 유산소 운동을 통해 심혈관 기능을 강화합니다.
셋째, 충분한 수면과 휴식을 취하여 신체적, 정서적 회복을 도와야 합니다.
댓글