목차
1. 구강암이란?
구강암은 입안에서 발생하는 악성 종양으로, 혀, 잇몸, 입천장, 입술, 볼 점막 등 구강의 어느 부위에서든 생길 수 있습니다. 대부분의 구강암은 편평세포암으로, 이는 입 안 점막을 덮는 편평상피세포에서 발생합니다. 조기 발견 시 치료율이 높은 편이지만, 초기 증상이 미미해 진단이 늦어질 수 있어 주의가 필요합니다.



2. 구강암 원인
구강암의 원인은 다음과 같은 생활습관 및 환경 요인과 밀접한 관련이 있습니다.
① 흡연
담배 속 발암물질이 입안 점막을 자극해 세포 변형을 유발합니다.
② 과도한 음주
알코올은 점막을 손상시키고, 담배와 함께 복합적 위험을 높입니다.
③ 인유두종바이러스(HPV)
특히 HPV-16형 감염은 구강암 발생과 연관성이 높습니다.
④ 구강 위생 불량
만성적인 염증과 자극은 암 발생 위험을 증가시킵니다.
⑤ 틀니 또는 보철물의 자극
오랜 시간 반복되는 물리적 자극이 점막에 손상을 줄 수 있습니다.
⑥ 영양 부족 및 비타민 결핍
특히 비타민 A, C, E의 부족은 구강 점막 건강에 영향을 미칩니다.
3. 구강암 초기증상
초기 구강암은 다음과 같은 비특이적 증상으로 나타나며, 종종 구내염이나 단순 염증으로 오인됩니다.
① 입안의 지속되는 궤양 또는 통증
2주 이상 낫지 않는 궤양이나 상처가 있을 경우 의심해야 합니다.
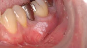
② 입술이나 혀, 입천장 등의 하얗거나 붉은 반점
'백반증(Leukoplakia)', '홍반증(Erythroplakia)'은 전암성 병변으로 진행될 수 있습니다.
③ 혀의 통증 또는 감각 이상
혀 한쪽에 통증, 마비감, 불편함이 지속될 수 있습니다.
④ 씹거나 삼킬 때 통증
조기 병변이 신경에 영향을 줄 경우 발생할 수 있습니다.
⑤ 치아 흔들림 또는 잇몸 출혈
특별한 이유 없이 치아가 흔들리거나 잇몸에서 피가 날 경우 점막 손상 가능성이 있습니다.
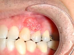
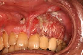
⑥ 입 안 종기 또는 덩어리
통증이 없더라도 만져지는 딱딱한 덩어리는 주의해야 합니다.



4. 구강암 진행 증상과 병기
병이 진행되면 아래와 같은 증상이 나타날 수 있습니다.
- 입 주변이나 턱의 붓기
- 턱 관절 통증
- 입을 벌리기 힘든 상태
- 귀 통증, 삼키기 어려움
- 목 림프절 비대 또는 통증
병기는 일반적으로 0기부터 4기까지 구분되며, 림프절 침범이나 다른 장기로의 전이가 있는지에 따라 달라집니다. 조기 발견 시 1~2기에 해당하며, 이 경우 치료 성과가 좋습니다.
5. 구강암 진단 방법
① 시진 및 촉진 검사
입안의 병변을 육안으로 확인하고, 의심 부위를 손으로 만져 이상 유무를 판단합니다.
② 조직검사(Biopsy)
이상이 있는 부위의 일부 조직을 채취해 암세포 존재 여부를 확인합니다.
③ 방사선 검사
CT, MRI, 초음파 등을 통해 병변의 범위 및 림프절 전이 여부를 파악합니다.
④ HPV 검사
관련이 있는 경우 바이러스 감염 여부를 확인할 수 있습니다.



6. 구강암 치료법
치료는 암의 위치, 병기, 전이 여부, 환자의 상태에 따라 결정되며, 다음과 같은 방법이 주로 사용됩니다.
① 수술
조기에 발견된 경우 병변을 절제하는 것이 1차 치료입니다. 진행된 경우 주변 조직이나 림프절까지 함께 제거할 수 있습니다.
② 방사선 치료
수술 전 또는 후에 시행하거나, 수술이 어려운 경우 단독으로 사용하기도 합니다.
③ 항암화학요법
진행성 암이거나 전이된 경우 약물을 이용해 암세포를 제거합니다.
④ 면역치료 및 표적치료
최근에는 특정 유전자 변이에 반응하는 표적치료나 면역세포 활성화를 유도하는 치료도 활용됩니다.
7. 구강암 예후와 생존율
구강암은 조기에 발견하면 5년 생존율이 80% 이상으로 높지만, 진단 시기가 늦을수록 생존율은 급격히 낮아집니다.
| 병 기 | 5년 생존율 |
| 1기 | 약 80~90% |
| 2기 | 약 70~80% |
| 3기 | 약 40~60% |
| 4기 | 30% 이하 |
※ 재발 위험성도 있으며, 치료 후에는 정기적인 추적 검사와 건강관리가 필수적입니다.



8. 구강암 예방법
① 금연
가장 강력한 예방법 중 하나로, 흡연은 구강암과 직접적인 연관이 있습니다.
② 절주
음주량을 줄이는 것만으로도 발병 위험을 낮출 수 있습니다.
③ 구강 위생 철저히 관리
양치, 구강세정, 정기적인 스케일링과 구강검진이 중요합니다.
④ 불편한 틀니 및 보철물 교체
장기간 점막을 자극하는 경우, 반드시 교체 또는 조정이 필요합니다.
⑤ 균형 잡힌 식사
비타민 A, C, E가 풍부한 채소와 과일 섭취로 점막 건강을 유지합니다.
⑥ HPV 백신 접종 고려
성인 남녀 모두 HPV 예방 백신을 접종함으로써 위험을 줄일 수 있습니다.
⑦ 입안의 이상 증상 방치하지 않기
2주 이상 지속되는 궤양, 점막 변화는 반드시 치과나 이비인후과 진료를 받아야 합니다.
입냄새 심한 이유 입냄새 줄이는 방법 간단 정리
안녕하세요 J입니다. 누군가와 대화할 때 입냄새 때문에 눈치가 보일 때가 있는데요 오늘은 입냄새 심한 이유 그리고 간단하게 입냄새 줄이는 방법 등에 대해 알아보겠습니다. 입냄새 원인?입냄
story.sapdox.com
댓글